Meet the Other Phone. Protection built in.

Meet the Other Phone.
Protection built in.

Buy now

Please or to access all these features

Conception

When's the best time to get pregnant? Use our interactive ovulation calculator to work out when you're most fertile and most likely to conceive.

11DPO positive - but concerned

208 replies

JDecember21 · 08/11/2024 09:00

Hi all just looking for some advice really feeling very anxious. Yesterday at only 10dpo I got 4 positive tests including one clear blue digital it said Pregnant 1-2 weeks.

then this morning I took a pregnancy test that was extremely cheap (pack of 3) with only a 20ml HCG sensitivity and the line was BARELY visable. This was with first morning urine! So I instantly thought I was having a chemical.

i went to the shop and got a more sensitive clear blue test. And it’s come back positive straight away - but in your opinion is the line colour ok for 11dpo?

As getting mixed signals on the cheap tests - not sure if I should be concerned. A doctor won’t see me will they?

thanks Jess

11DPO positive - but concerned
11DPO positive - but concerned
OP posts:
Thread gallery
36
sellingupslow · 20/12/2024 18:25

@Brownbottle

Sorry I can't help with those results, did they email them to you or call? When did you have the bloods?

I'm also feeling completely fine to be honest apart from being exhausted so I understand to worry ❤️

My 12 week scan is on Jan 9th too! How exciting! I'm also tempted to book another scan but I'm being forbidden by my partner due to the cost (£90 here!)

Let us know if you do book one but I'm sure everything is ok ❤️

sellingupslow · 20/12/2024 18:26

@Runsandbuns how exciting! That'll be such a lovely Christmas present for al of them!

We're already told all close friends and family, feels different with your second child!

Brownbottle · 21/12/2024 10:07

That’s ok @sellingupslow thanks for reply. The midwife antibody results come up on an app automatically with no explanation of what they mean or next steps which isn’t especially helpful. The tests were done 14th and they started appearing on the app throughout last week. Nobody has replied to my email yet and there’s no phone number 🤷‍♀️

For my thyroid I’ve had a repeat blood test in case it was a lab error and hopefully will get result on Monday and can have meds adjusted if needed. If it is high again I probably will get another scan maybe 31st as I’m so worried about MMC! If it’s fine then I’ll hold out til 9th.

Understand your partner’s banning another as it is an expensive cost Grin Nice we have 12 week scan on same day! Mine is at 10:30.

@Runsandbuns aw I hope telling them all goes well! Lovely to do over Christmas. My mum has known since near beginning as was staying with her and hard to hide symptoms. Planning to tell my sister later today, am with wider family over Christmas but won’t tell them until after 12 weeks. I have told a few close friends as wanted the support and wouldn’t want to hide a miscarriage from them anyway.

Brownbottle · 21/12/2024 14:21

my thyroid result came back as normal so previous high reading must have been error! So relieved

JDecember21 · 24/12/2024 22:46

Hi @Brownbottle so glad this was an error!!! Hope you’re ok!!. I’m waiting for my bloods as well it’s really nerve wracking I’ve realised I hate anything medical!!

@sellingupslow / @Brownbottle guess what my 12 week scan is on the 9th Jan too😂 planning to do the big social media announcement that day lol.

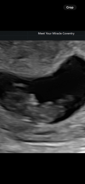
thought I’d update you all, I had another little bit of spotting on 21st December (my bday) lol, of course - ended up paying for a private scan to check everything was ok but it was the best money I ever spent… pic below, she said everything is absolutely perfect and nothing at all to worry about she said if the spotting comes back just to ignore it if it’s not too heavy. She can’t see a reason for it at all! So maybe just hormonal.

hope you all have a great Christmas I’m still feeling awful with sickness and exhaustion praying it calms down soon, thinking maybe this means I’m having a girl?! lol

11DPO positive - but concerned
OP posts:
sellingupslow · 25/12/2024 21:38

Merry Christmas everyone!!

@JDecember21 look at that 🥹 so glad you got to have another scan and that you're feeling reassured!

I can't believe we're all on the 9th Jan!! Can't wait to see all the scans!

My DH gifted me a scan (🤣🙃) which I had done yesterday so also feeling really happy, I think we'll announce on the 10th which is DH's bday!

11DPO positive - but concerned
JDecember21 · 25/12/2024 21:53

Look at that perfect baby!! @sellingupslow 🎄🎄

OP posts:
Brownbottle · 06/01/2025 23:35

Hello, how is everyone feeling? I’m absolutely bricking it about scan on Thursday, my symptoms have lessened and I’m so worried in case something has gone wrong. These few days can’t come soon enough! Hope you are all managing ok!

Lavenderrose92 · 07/01/2025 07:51

Brownbottle · 06/01/2025 23:35

Hello, how is everyone feeling? I’m absolutely bricking it about scan on Thursday, my symptoms have lessened and I’m so worried in case something has gone wrong. These few days can’t come soon enough! Hope you are all managing ok!

how many weeks are you?

it can be really normal for symptoms to settle.. you body has got used to it x

sellingupslow · 08/01/2025 14:51

Hey @Brownbottle

I'm feeling the exact same, feeling really anxious

Mines at 9:30 tomorrow, will you let us know how you get on? I'll be 12+6, you?

Brownbottle · 08/01/2025 20:49

Thanks for your reply @Lavenderrose92 I’m 12 weeks and 2 days, so know it’s normal for symptoms to calm down a bit around now. My partner would still say I’m still complaining of lots of symptoms anyway!

@sellingupslow Good luck, hope it goes well. Mine’s at 10:30. Please do post update if you’d like too tomorrow! At least only one more sleep to go, still an anxious night! Do you have any questions you want to ask? It’s dependent on what the outcome is I guess.

@JDecember21 hope yours goes well tomorrow too

JDecember21 · 08/01/2025 22:50

Hey ladies hope you’re all well!! I’ve been sooo ill with morning sickness until literally this week it’s started to subside FINALLY. Apparently this means the placenta is taking over and is normal.

im 12+3. Will let you know how 12 w scan goes tomorrow :) good luck everyone xx

OP posts:
Brownbottle · 09/01/2025 08:14

Sorry you’ve been so ill @JDecember21 hopefully that eases from now on then!

sellingupslow · 09/01/2025 13:21

@JDecember21 @Brownbottle how did you both get on? Xx

JDecember21 · 09/01/2025 17:01

Hi ladies! Yes went perfectly no issues. The baby was moving soo much it was making me laugh. Took her ages to get the measurements she needed. Very grateful it’s all good. How did yours go?

ps - my scan pic is so clear I can’t believe I can see baby’s face?! Lol

11DPO positive - but concerned
OP posts:
JDecember21 · 09/01/2025 17:01

@sellingupslow @Brownbottle

OP posts:
sellingupslow · 09/01/2025 17:54

@JDecember21 wow!!

Im so happy for you 🥹 I bet you feel so relieved!

Your scan is amazing, always makes me laugh how their little noses look 🤣

All was good with mine too, they said looks like a low chance of chromosomal abnormalities but would confirm with bloods (which they took today)

11DPO positive - but concerned
JDecember21 · 09/01/2025 18:40

Yay so happy for you! @sellingupslow i also had bloods taken will wait about 1-2 weeks for the bloods !! X

OP posts:
Brownbottle · 09/01/2025 19:43

Glad your scans went so well @JDecember21 and @sellingupslow , lovely scan images!

Mine was good too! Baby measuring a few days ahead so 13 weeks, due date now 17th July!

11DPO positive - but concerned
Brownbottle · 09/01/2025 19:45

Also came back low risk on the three chromosomal abnormalities, looked low on scan and then bloods also low risk (they took about 6 hours?!)

Runsandbuns · 09/01/2025 20:20

Hi all, What wonderful news to see everyone's lovely scan pics! So glad everything is progressing so well for you all - the name of the group seems like a distant memory now 😀... but still a long way to go...
I've got my scan on Monday, had my screening test last Monday so should get the results then. Seeing these scans had me so excited, all seems so real seeing all the babies little features!
Symptoms are going for me now, this week has been the most energised I've felt in a while so hoping through the worst now! Is anyone showing yet? Can't tell if it's still just bloat 💕

JDecember21 · 10/01/2025 07:14

@Brownbottle ghats good!!! Awwww so cute :))) yes still waiting for mine. So glad for you though.

@Runsandbuns hahaha! Yes I know the group name makes me laugh 😂

I am showing now only just!

pS my due date is 19th July xxx

OP posts:
sellingupslow · 10/01/2025 09:32

Due dates
@Brownbottle - July 17th
Me - July 18
@JDecember21 - July 19th

How exciting!

Brownbottle · 03/02/2025 22:40

How are you all doing @JDecember21 @Runsandbuns @sellingupslow ? And anyone else around the same point!

I can’t decide whether the weeks are going slowly or fast, I have 20 week scan 28th February which does seem to be soon! I have a little bump but only really noticeable at the end of the day. Most of my trousers are getting tight though!

sellingupslow · 04/02/2025 19:33

Hey @Brownbottle!!

Oh how cute and how exciting 🥹 my 20 week scan is on the 28th too!!

I feel like the weeks are definitely going slower now 😂 it's torture. I'm still being sick daily which isn't ideal either!

Glad to hear you're well.