Are your children’s vaccines up to date?

Set a reminder

Please or to access all these features

Birth clubs

Connect with mums-to-be with similar due dates to share experiences and support.

July thread - we are nearing the end of the first trimester, announcements will be made soon!

999 replies

fattycow · 12/12/2014 15:06

New thread, as the other one was nearly full! Can someone please post the stats page, as I'm useless with things like that!

OP posts:
Are your children’s vaccines up to date?
Thread gallery
10
ohlordyplordy · 18/12/2014 16:05

No sexy times in the ohlordy house. Tmi my guts have been from one extreme to another. Have to cuddle a hot water bottle in bed some nights to ease the stomach ache. So I simply couldn't cope with jiggling around!

Number3cometome · 18/12/2014 16:07

Lordy

What's with the gut thing? Back to pooh chat, but mine seems to be quite err loose at times too. It's unnerving!

WantToGoingTo · 18/12/2014 16:27

There is a baby in there alright! It has arms and legs and eyes and a heartbeat! It measures 9+0 so spot on :) so relieved!!

BadIdeaBear · 18/12/2014 16:31

Yay! Hurrah for your good news want and glad all measurements are as you thought.

Oh, can't wait for Monday...

10+0

Number3cometome · 18/12/2014 16:33

Want I want another scan now!!
I am soooo tempted to pay for a private one after Christmas when I am 10 weeks!!

8+5

WantToGoingTo · 18/12/2014 16:48

number when did you have your first one? My 12 week one will be in 3 weeks I was told bu will get letter in post with exact date and time. DH got v excited when we could see heart beating and when litke bean waved at us Grin we have some fab pics! Excited for announcements now I know everything is ok :)

Number3cometome · 18/12/2014 16:54

My first one was last Friday, I thought I was 8+6 but scan said 7+6 (I suspected this as I have PCOS)

Well I say I have PCOS, apparently all my old cysts on my left ovary have gone and I have a new larger one on the right (which they will keep an eye on)

My next one is not until 15th Jan!!!!!

BadIdeaBear · 18/12/2014 16:55

Mine's a private one, number3. My NHS 12 week not till 6 January and i need to tell family f2f over Christmas break so just gone for it... plus I'm not gonna do NHS NT scan but have gone bonkers and paying for the more accurate NIFTY privately too... more bloods on Monday for me, then!

hehe fun that you got a wave want!

Number3cometome · 18/12/2014 16:59

I think I may pay for a private one.

I know it is crazy, but I just wanted a scan with a heartbeat over 8 weeks, and I thought I was 8+5 but was infact 7+5.

Just want to see my little kidney bean again.

Silly and selfish I know

winterclouds · 18/12/2014 17:00

Is anyone showing yet? I'm 9+0 and this is my 2nd. I have a little bump already!

StoneBaby · 18/12/2014 17:10

I hope I'll get more info about my scan tomorrow when I see the mw.

wantto great news. So nice to have sticky beans on this thread Smile

9+1

Aretepetite · 18/12/2014 17:14

Here is a 12 week scan pic of little bubba. All was well little heartbeat and a little acrobat on our hands. Would not stay still Blush Measured, eventually, at 12+3 and put me forward to June 30th. If you lovely lot don't mind, I'll just stay in this group. I haven't went early or on time yet Xmas Grin

July thread - we are nearing the end of the first trimester, announcements will be made soon!
Aretepetite · 18/12/2014 17:17

Here is the bauble we done for the kids Grin
whoever it was that posted that idea - thank you.

July thread - we are nearing the end of the first trimester, announcements will be made soon!
Aretepetite · 18/12/2014 17:18

Hope you are all well.
Just wanted to update re scan. Will read back.

WantToGoingTo · 18/12/2014 17:18

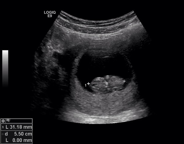
Here is little bean! Looks more baby shaped than I thought at this stage :)

July thread - we are nearing the end of the first trimester, announcements will be made soon!
Leela5 · 18/12/2014 17:22

Aww congrats to those with scans!

I have a bump and in the afternoon it's massive. I can't hide it anymore at work as it just pokes out. It's my first baby so very odd!

9+6

Leela5 · 18/12/2014 17:33

Here's my scan from yesterday, 9+5

Love you can see the limbs, it was wriggling too!

July thread - we are nearing the end of the first trimester, announcements will be made soon!
MisterSafetyCatchIsNotOn · 18/12/2014 18:17

Minor rant, just got home to find my hospital have changed my scan date from 24th to 31st (apparently they are closing the scan rooms on 24th now), but I'm away from 30th dec - 4th jan. Will have to call and rearrange tomorrow but I'm worried there won't be any earlier appointments left and it will be too late by the time I get back. Also pretty much any other date will mean we have no childcare so DH won't be able to come with me as they don't let children in. So annoyed! I know it's very minor in the grand scheme of things, but grr!

Pipbin · 18/12/2014 18:30

This reply has been deleted

Message withdrawn at poster's request.

NotPennysBoat · 18/12/2014 18:30

What fab scan pictures! It's nice to see what these beans look like at various stages.

A warning to you all - after seeing these I Googled for images of "10wk old fetus", there were some really horrifying abortion images so please don't repeat my mistake. Absolutely sickening.

9+6 today and this is the exact stage when I started bleeding with my miscarriage. I can't wait for the day to be over, it will psychologically feel like another milestone passed for me.

DustOffYourHighestHopes · 18/12/2014 18:31

Eugh.

DH working late so can't do DS bathtime and bed routine. But is coming home 'in time for dinner'. Only I feel so sick that he was due to cook tonight.

Plus I then have to pack ready for our five hour drive tomorrow to see the in laws for the weekend. While feeling like vomiting everywhere.

Pipbin · 18/12/2014 18:32

All these late mc worry me. I thought after 8 weeks the chances were fairly good.

NotPennysBoat · 18/12/2014 18:35

Pip my fetus had died before 8 wks but I didn't realise until the bleeding at 9+6. Try not to worry, you've seen that heartbeat and that's a massive plus!

broodylicious · 18/12/2014 18:46

Fantastic scan pix ladies Smile Proper little bubbas in there!

penny, I hear you. I need to get to my scan at 12 weeks and I will feel better having got past the day I mc. It's just so horrid isn't it, all the milestones?

naty1 · 18/12/2014 18:54

I agree Pip especially when the bleeding starts a few days from where you are at the time :( scary

Mister i cant believe they decided so last minute - the week before!
Or if not at least called as its common to be away till after NY.
Hope you can move it to another date.

Every scan is so different.