Meet the Other Phone. Child-safe in minutes.

Meet the Other Phone.
Child-safe in minutes.

Buy now

Please or to access all these features

Conception

When's the best time to get pregnant? Use our interactive ovulation calculator to work out when you're most fertile and most likely to conceive.

First Timers TTC. Safe space for brain dumps, questions, whinges and celebrations. Part 2!

562 replies

TinyDancer91 · 05/01/2023 21:18

Hi All.

This is a continuation from my past thread, but no need to go read that one if you're new here!

Quick TD;LR from the old post (but with up to date info) - I'm 31, OH is 35. We are TTC baby #1. Been TTC since Jan 2022, now on cycle 14. Haven't told anyone to avoid pressure.

Feel free to post any questions, thoughts, whinges, celebrations, basically anything here!

Going to try to be a bit more positive than I was toward the end of the last thread 😂

Love & baby dust to all. Wishing for BFPs for everyone this year 💖

OP posts:
Thread gallery
13
TinyDancer91 · 06/06/2024 12:03

Ladies, I need your opinions. I've caved and tested today at 6dp5dt, which is essentially 11dpo. Worried as boobs have gone from feeling firm and a little sore yesterday to 'normal' today... might just a be reading too much into that though.

Anyway, this is the test from today, what do we think? Line? Indent? Official test day isn't until til Weds next week, so will test again the (and probably over the weekend too)

First Timers TTC. Safe space for brain dumps, questions, whinges and celebrations. Part 2!
OP posts:
BeeLieve86 · 06/06/2024 12:12

Looks positive my lovely. But test every other day to know for sure. Xx

im 13 weeks today! Had my scan yesterday and all is well 🤍

Nessie2395 · 06/06/2024 13:35

TinyDancer91 · 06/06/2024 12:03

Ladies, I need your opinions. I've caved and tested today at 6dp5dt, which is essentially 11dpo. Worried as boobs have gone from feeling firm and a little sore yesterday to 'normal' today... might just a be reading too much into that though.

Anyway, this is the test from today, what do we think? Line? Indent? Official test day isn't until til Weds next week, so will test again the (and probably over the weekend too)

That looks positive to me!! 😀

LucyLoopyLu · 06/06/2024 13:47

@TinyDancer91 I can see a faint line but remain cautious!
Definitely give it another couple of days and test again. Fingers crossed 🤞

Feliciacat · 06/06/2024 14:36

Looks positive to me too but as others have said, be cautious at this stage. Celebrate on Wednesday. I hope it goes well!

TinyDancer91 · 06/06/2024 14:55

Thanks ladies, I am remaining realistic that this may not last and taking it with a pinch of salt until it's a LOT darker!

This is the first line of any kind I've had in the almost 3 year journey to date, so yes very cautious at this stage.

Keeping everything crossed for a positive out come for us and for everyone else here too!

@BeeLieve86 wow, that must be exciting and reassuring for you 💕 sending lots of love your way for a happy healthy pregnancy & birth!

OP posts:
LucyLoopyLu · 06/06/2024 14:58

Congrats @BeeLieve86 !

I have my 12 week scan on 17th. It's been a rough ride getting this far so I'm feeling very nervous. Fingers crossed for a good scan and a strong positive for you @TinyDancer91

Alexis7890 · 07/06/2024 09:22

@TinyDancer91 i got a reliable positive early, my official test day was Saturday and I tested on the Wednesday and it was a good line so keep testing!! Everything crossed for you that the line will keep getting stronger

TinyDancer91 · 09/06/2024 09:29

@LucyLoopyLu & @Alexis7890 congrats to you both!!

I caved and tested again this morning.... went digital this time and, well, here's the result...

First Timers TTC. Safe space for brain dumps, questions, whinges and celebrations. Part 2!
OP posts:
Nessie2395 · 09/06/2024 09:43

TinyDancer91 · 09/06/2024 09:29

@LucyLoopyLu & @Alexis7890 congrats to you both!!

I caved and tested again this morning.... went digital this time and, well, here's the result...

That's amazing OP so pleased for you 🤩

BeeLieve86 · 09/06/2024 10:14

I am sooooo happy for you! Stay sticky little one! Xxxx ✨♥️✨

Kayycatt · 09/06/2024 10:44

TinyDancer91 · 09/06/2024 09:29

@LucyLoopyLu & @Alexis7890 congrats to you both!!

I caved and tested again this morning.... went digital this time and, well, here's the result...

Many congratulations @TinyDancer91 ! I joined this thread last year but haven't left many comments myself, but do continue to receive notification for it. I have secretly been rooting for you. Such amazing news and super excited for you 😇

Ditzydaisychain · 09/06/2024 11:03

@TinyDancer91 so happy for you! 💕

Lilac90 · 09/06/2024 11:25

That is amazing news! Huge congratulations!

Alexis7890 · 09/06/2024 12:03

@TinyDancer91 omg amazing congratulations!!!

LucyLoopyLu · 09/06/2024 17:35

@TinyDancer91 lovely news, congratulations! How do you feel?

TinyDancer91 · 12/06/2024 10:37

Hi again everyone!

So today is official test day and it's still a BFP 🥰 tested again on Sunday, Monday and yesterday as well as I was so worried it would fade!

Called the clinic this morning to let them know and just waiting for a call back now to book in my 7 week viability scan 🤞🏻🙏🏻

Still paranoid that something is going to go wrong but also so happy that I finally got a BFP 💕

It's been a journey but hoping with every fibre of my being that this is finally our time.

Still thinking about you all and wishing for BFPs for you all too 💕

OP posts:
Nessie2395 · 12/06/2024 12:05

TinyDancer91 · 12/06/2024 10:37

Hi again everyone!

So today is official test day and it's still a BFP 🥰 tested again on Sunday, Monday and yesterday as well as I was so worried it would fade!

Called the clinic this morning to let them know and just waiting for a call back now to book in my 7 week viability scan 🤞🏻🙏🏻

Still paranoid that something is going to go wrong but also so happy that I finally got a BFP 💕

It's been a journey but hoping with every fibre of my being that this is finally our time.

Still thinking about you all and wishing for BFPs for you all too 💕

That's beautiful news, so pleased for you ☺️ it must be nerve wracking worrying that something will go wrong but try to enjoy this time and your BFP!

LucyLoopyLu · 12/06/2024 19:35

@TinyDancer91 great news! Hope all goes well for you X X X X

CatLadyH · 16/06/2024 09:20

TinyDancer91 · 09/06/2024 09:29

@LucyLoopyLu & @Alexis7890 congrats to you both!!

I caved and tested again this morning.... went digital this time and, well, here's the result...

I have been checking in and out of this thread lurking, I am so pleased for you @TinyDancer91 🥰

Moneyworrier123 · 16/06/2024 10:11

TinyDancer91 · 12/06/2024 10:37

Hi again everyone!

So today is official test day and it's still a BFP 🥰 tested again on Sunday, Monday and yesterday as well as I was so worried it would fade!

Called the clinic this morning to let them know and just waiting for a call back now to book in my 7 week viability scan 🤞🏻🙏🏻

Still paranoid that something is going to go wrong but also so happy that I finally got a BFP 💕

It's been a journey but hoping with every fibre of my being that this is finally our time.

Still thinking about you all and wishing for BFPs for you all too 💕

I’ve just read this full thread and I’m so happy to read your latest update. Congratulations and wishing you all the best for your pregnancy journey 💕

Bluebys · 27/06/2024 20:30

I remember your first thread from years ago @TinyDancer91 and often look to see how you are doing. I was so pleased to see your update - how are you doing?

TinyDancer91 · 27/06/2024 20:59

@Bluebys doing ok thanks. Still paranoid something will go wrong but I have my 7 week scan next week so hopefully that will put my mind at ease a little.

It still doesn't feel real yet either! It feels like it's all a bit of a dream 🥰

OP posts:
PeopleAreToads · 28/06/2024 07:26

@TinyDancer91 I was on the thread when I was TTC in early 2023 but very lucky that it happened quickly for us. I occasionally catch up on the thread to see how you’re doing and this is just the best news! Wising you all the best and looking forward to hearing updates 🥰 I’ve just ran down the stairs to tell DH the news as even he asks about as he knows how supportive I found the MN posters when TTC

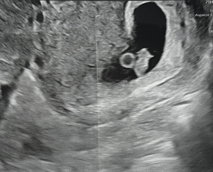
TinyDancer91 · 06/07/2024 23:10

Just a quick update for you all. We had our scan on Weds and have now officially been discharged from the clinic!! 🥳

We saw our little bean's heartbeat 💗

Due date has been estimated at 19th Feb. Still all feels like a dream! Luckily, I've not experienced any morning sickness yet (I have emetophobia) feeling very tired though.

Here's the first pic of our little bean.

Hoping everyone is doing ok and praying for BFPs for those of you still awaiting yours 💕

First Timers TTC. Safe space for brain dumps, questions, whinges and celebrations. Part 2!
OP posts: