Are your children’s vaccines up to date?

Set a reminder

Please or to access all these features

Birth clubs

Connect with mums-to-be with similar due dates to share experiences and support.

September 2025

34 replies

Whatsthatcatdoing · 23/12/2024 12:14

Hi

Just got my BFP this morning (Merry Christmas!)

My last club has a brilliant community that's still super active, and it was (and is!) such a good support both during pregnancy and beyond.

Thought it worth starting a thread for Septmeber 2025, if anyone wants to join.

OP posts:
Are your children’s vaccines up to date?
Sturnidae · 27/12/2024 12:29

Morning! I got mine this morning after two years of not preventing ❤️ congratulations on your lovely Christmas gift! Mine was belated!

The club I was in with my 8yo is still going and brilliant, wonderful lot!
I have a 5yo as well though left that baby club.

Whatsthatcatdoing · 28/12/2024 15:33

Aahh amazing, congratulations 🎊

What's your EDD?

OP posts:
Chellooo · 28/12/2024 18:57

Morning ladies, got my bfp absolute dye stealer and petrified! Have a little one who just turned one... 2 under 2 will be fine....lol it will be fiiiinnneeee 🙈🙈🙈

Sturnidae · 29/12/2024 05:50

Whatsthatcatdoing · 28/12/2024 15:33

Aahh amazing, congratulations 🎊

What's your EDD?

No idea, my cycle is weird but going by average of 32 days the NHS website says 8th, but i have a long luteal cycle and got my positive 3/4 days before before I'm due on so 🤷‍♀️ will find out more on date scan I suppose!

What is your EDD?

I'm up after a full on wave of nausea at 4am which I'm hoping is a tummy bug rather than sickness, though with my eldest it was my first symptom from 5 weeks and my boss guessed I was pregnant at 6 weeks as I had to keep munching on pretzels to stave it off.

Sturnidae · 29/12/2024 05:56

Chellooo · 28/12/2024 18:57

Morning ladies, got my bfp absolute dye stealer and petrified! Have a little one who just turned one... 2 under 2 will be fine....lol it will be fiiiinnneeee 🙈🙈🙈

Morning! Congratulations!

It'll be fine! 🙈 Just get a good double buggy and you'll be okay 😅 I can highly recommend a double nipper, though I didn't like that once out of the carry cot baby was facing away from you and quite low down! I was a paranoid baby parent! I had the double nipper for my childminding work though and it was amazing.

zozozoe123 · 04/01/2025 02:48

Hi, can I join 😊 I have just had a bfp today. Unplanned but very much wanted and a shock as it took a while to conceive my first baby (now 3) estimated due date 6th sept. Congrats all 🥰

srose25 · 06/01/2025 12:31

Hi Everyone 5 weeks + 6 today! First time pregnancy 🥹
The wait to first scan (even the early reassurance scan) feels like a lifetime!
Booked in for 18th January and literally counting down the minutes!

Does anyone else just feel anxious everyday not knowing!?

zozozoe123 · 06/01/2025 16:38

srose25 · 06/01/2025 12:31

Hi Everyone 5 weeks + 6 today! First time pregnancy 🥹
The wait to first scan (even the early reassurance scan) feels like a lifetime!
Booked in for 18th January and literally counting down the minutes!

Does anyone else just feel anxious everyday not knowing!?

I also have an early scan on 18th jan! I'm a lot more relaxed this time round than I was with my first but I will still be anxious until at least 12 weeks 🙈 I think I'm 5+2

srose25 · 06/01/2025 18:09

zozozoe123 · 06/01/2025 16:38

I also have an early scan on 18th jan! I'm a lot more relaxed this time round than I was with my first but I will still be anxious until at least 12 weeks 🙈 I think I'm 5+2

Oh amazing! Just trying to take each day as it comes! There’s really nothing else we can do ❤️ 12 days to go for us 🤣🤞💪

Sturnidae · 06/01/2025 18:55

Congratulations both of you 😊

I am tempted to sort an early scan because goodness knows how I'm going to keep my trap shut 🙈 I was done with the other two, though had an early scan with eldest as I had some bleeding so that was medical but confirmation that she had a little beating heart!

srose25 · 06/01/2025 19:45

Sturnidae · 06/01/2025 18:55

Congratulations both of you 😊

I am tempted to sort an early scan because goodness knows how I'm going to keep my trap shut 🙈 I was done with the other two, though had an early scan with eldest as I had some bleeding so that was medical but confirmation that she had a little beating heart!

Thanks so much! Ahh that's why we're getting an early scan too. As soon as we have done it we're going to tell those closest to us ❤️ the wait is just the worse 🥹

Whatsthatcatdoing · 07/01/2025 09:43

Unfortunately I've started bleeding today at 5+5 so I think that's probably that for me 🥺 I hope you all had a lovely Christmas and wishing you all the very best with your pregnancies and little bundles when the time comes.

OP posts:
Sturnidae · 07/01/2025 21:01

Whatsthatcatdoing · 07/01/2025 09:43

Unfortunately I've started bleeding today at 5+5 so I think that's probably that for me 🥺 I hope you all had a lovely Christmas and wishing you all the very best with your pregnancies and little bundles when the time comes.

So sorry to hear that 😔

zozozoe123 · 08/01/2025 05:58

Whatsthatcatdoing · 07/01/2025 09:43

Unfortunately I've started bleeding today at 5+5 so I think that's probably that for me 🥺 I hope you all had a lovely Christmas and wishing you all the very best with your pregnancies and little bundles when the time comes.

So sorry to hear that 😔

bananamilkshake123 · 08/01/2025 16:11

Got my BFP on 1st Jan and reckon I'll probably be due mid September. Already got a 3 Yr old born early September, seems to be our time of year!

@Whatsthatcatdoing so sorry to see your latest post

Sturnidae · 08/01/2025 21:50

Congratulations @bananamilkshake123 😊

I've just had my 8yo telling DH and I at bedtime that she needs another sibling 😅

Today has been a rough day though. Full on bloating, queasy all day and exhausted. Not helped by the idiot dog barking through the night intermittently having a tantrum because I'd blockaded the stairs as she's not supposed to be climbing them due to a slipped disc. DH wasn't home which exacerbated it as she gets very antsy when he's away regardless. She still managed to get upstairs by the time I woke up somehow.

We have a busy few days coming up so I'm hoping I feel a bit more active tomorrow 😬

zozozoe123 · 09/01/2025 14:09

Sturnidae · 08/01/2025 21:50

Congratulations @bananamilkshake123 😊

I've just had my 8yo telling DH and I at bedtime that she needs another sibling 😅

Today has been a rough day though. Full on bloating, queasy all day and exhausted. Not helped by the idiot dog barking through the night intermittently having a tantrum because I'd blockaded the stairs as she's not supposed to be climbing them due to a slipped disc. DH wasn't home which exacerbated it as she gets very antsy when he's away regardless. She still managed to get upstairs by the time I woke up somehow.

We have a busy few days coming up so I'm hoping I feel a bit more active tomorrow 😬

@bananamilkshake123 congratulations 🥰
I just had my 12 week scan date through feels so far away, 26th Feb!

I am sooo exhausted all the time at the moment and waves of nausea on and off all day.

My 3 and a half year old daughter asks me daily for a little sister 😂

babybeemama · 09/01/2025 19:39

I'm very sorry to read your last post @Whatsthatcatdoing. Thank you for opening this thread and creating a space for us to to build a community online...it's very much appreciated for a first timer like me!!

I am 6 weeks 2 days in now, got my BFP on morning of my birthday on 31st December (what a wonderful surprise that was haha). Also waiting for the first scan, which is scheduled during my 9th week. It feels very surreal.

I'm a bit concerned if I should insist on an earlier scan or get checked out earlier, I notice some light brown discharge (not a lot, like a few little specks and it doesn't look like normal liquid "blood spotting" to me and I don't have cramping) today on my panty liner. Kinda freaked out and wondering if this is a hormone thing that will clear up on it own...

Clove31 · 11/01/2025 21:14

Hey guys!

I'm due September also got my 1-2 weeks positive test today :)
How exciting?!
How far along are we all?
❤️

zozozoe123 · 13/01/2025 09:11

babybeemama · 09/01/2025 19:39

I'm very sorry to read your last post @Whatsthatcatdoing. Thank you for opening this thread and creating a space for us to to build a community online...it's very much appreciated for a first timer like me!!

I am 6 weeks 2 days in now, got my BFP on morning of my birthday on 31st December (what a wonderful surprise that was haha). Also waiting for the first scan, which is scheduled during my 9th week. It feels very surreal.

I'm a bit concerned if I should insist on an earlier scan or get checked out earlier, I notice some light brown discharge (not a lot, like a few little specks and it doesn't look like normal liquid "blood spotting" to me and I don't have cramping) today on my panty liner. Kinda freaked out and wondering if this is a hormone thing that will clear up on it own...

Congratulations, what a lovely birthday present🥰
Did you have any luck with getting an earlier scan?

zozozoe123 · 13/01/2025 09:14

Clove31 · 11/01/2025 21:14

Hey guys!

I'm due September also got my 1-2 weeks positive test today :)
How exciting?!
How far along are we all?
❤️

Congrats!
Different apps tell me different things but I'm around 6 weeks and EDD is 6th September.
Exciting times!
Baby number 2 for me as I have a 3.5 year old daughter too and also a 9 year old step son.
Feeling so rough, queasy all day and sick in the mornings and so so exhausted 😩 can't remember it being this bad the first time round but then I wasn't running after a toddler plus it was lockdown now I'm working fulltime 😴😅

Sturnidae · 15/01/2025 12:02

Congratulations to the newbies :)

I'm ~6 weeks. Estimated DD 5th September, though likely will change as my cycle/luteal phase is long. Also will have another section assuming all goes well, so will likely be an August baby. My 5yo was scheduled for 39 weeks. My eldest was an EMCS and she was almost two weeks late in the end.

I've been munching on crackers and sucking jelly tots the past couple of days thanks to nausea. I rarely eat cold foods and hot foods smell too strong at the moment. I have ARFID as well so super fun here, may need to dig out the meal replacement shakes to get some actual nutrients into me again 😫

123jellen · 17/01/2025 23:18

I am a newbie in all things pregnancy, I found out I was pregnant on 4th Jan and this is my first pregnancy. So I am nervous, scared but excited!
I am about ~6 weeks with EED on 6th September.

I've been feeling a lot of nausea and things I would eat 2x weeks ago like Cesar Salad I can not even think about eating now without turning green 🤢I have a really hard time sleeping through the night without waking up atleast once and have subtle cramping every now and then which is probably my uterus growing?

My first hospital appointment is at 4th February and I am very excited for that!

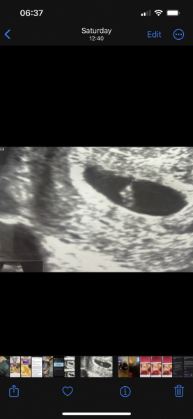
zozozoe123 · 23/01/2025 06:40

Hi to the newbies!
Anyone had an early scan? I had one on Saturday so nice to see a little heartbeat and that there was just one there 😂
My first midwife appointment is 7th feb at 9 weeks. And my 12 week scan is 27th feb.
I can't wait for the morning sickness stage to be over 🤮 although the symptoms are a good sigh I guess!
Hope everyone's doing ok? Xx

September 2025
Sturnidae · 24/01/2025 10:32

Congratulations 123jellen 😊

I'm waking up too and the insomnia has started which is so frustrating.

We are debating an early scan but haven't booked anything yet 😅 mostly so that we can tell our girls as they are not stupid, they know something is going on!

Swipe left for the next trending thread