Meet the Other Phone. Child-safe in minutes.

Meet the Other Phone.
Child-safe in minutes.

Buy now

Please or to access all these features

Pregnancy

Talk about every stage of pregnancy, from early symptoms to preparing for birth.

5 and half week scan no yolk or pole- help

16 replies

loladorsetlady · 03/09/2023 17:34

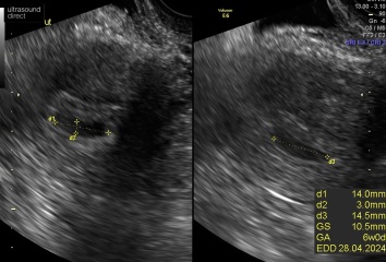
Hey all, looking for some reassurance/positive stories. I had a early viability scan today as I thought we were 7w1d. Went and we were measuring 5 and a half - 6 weeks with no fetal pole or yolk sac seen, though gestational sac was there.

I wasnt tracking ovulation during this cycle. Last period was 15/07/23 cycles usually 28-32 days tho have occasionally been 35.

Evidently I am absolutely distraught thinking the worst. Experienced a loss before and this isn’t helping. Trying not to convince myself baby stopped growing a week ago or pregnancy isnt viable, equally want to prepare myself though.

After i got home from scan did clear blue dig which had gone back down to 2-3weeks and was noticeably lighter. Though this could be due to dilution and me not holding.

Been told to come back in 10 days for rescan. Going to test in morning and if lighter cal GP/EPU as I have had cramping recently and saw GP a few weeks back who said if it continued theyll refer to EPU😢

Will try include pics

5 and half week scan no yolk or pole- help
5 and half week scan no yolk or pole- help
OP posts:
Kellyaust · 03/09/2023 18:09

Sorry you've been left so worried, was the scan abdominal or internal? X

loladorsetlady · 03/09/2023 18:13

Thank you . It was external and internal. Due to my high bmi they struggled to see external and internal was alot clearer which showed empty gestational sac x

OP posts:
Kellyaust · 03/09/2023 18:16

Sorry but I think it's a waiting game, sometimes it's normal at 5 weeks plus, if you were 6 weeks plus I'd say it looks like bad news but I think there's still hope if you're still very early. X

FirstMondayInMay · 03/09/2023 18:36

This happened to me! I was scanned at what I thought was 7 weeks but measured at 5, with a sac visible but nothing inside. So they scanned me again 2 weeks later and baby was there, with a good strong heartbeat!

by the time I had my 12 week scan, the measurements were only out by 6 days so they think I’d just ovulated late

fingers crossed it all works out for you🤞🏼

loladorsetlady · 03/09/2023 21:50

Thank you so much thats so reassuring x

OP posts:
TheHopefulMum · 03/09/2023 22:01

Hi OP I had something similar back in May and unfortunately it wasn't good news. I went to EPU after having some light pink discharge. I should have been around 7 weeks based off LMP, although we weren't trying so didn't know ovulation.

Internal scan showed an empty sac measuring 4-5 weeks. I was told I may have miscalculated my dates and they would rescan in 2 weeks but I knew the dates were correct and by a horrible stroke of luck I miscarried the empty sac that evening.

I really hope you have a better outcome. I now know I had a blighted ovum but it was a loss none the less and I still feel a sense of loss now even though technically there was never a baby.

I'll keep my fingers crossed for you.

loladorsetlady · 05/09/2023 14:09

Thank you everyone for your comments and sorry for your loss hopeful mum.

just for anyone who reads this thread, i went to EPU today for a scan, measured 12 week and saw heartbeat and “baby” who is a little blob at the moment☺️ not sure what happened at my early scan. Maybe i was too early or equipment wasnt the same. Learnt my lesson to be patient from now on

OP posts:
loladorsetlady · 05/09/2023 14:09

loladorsetlady · 05/09/2023 14:09

Thank you everyone for your comments and sorry for your loss hopeful mum.

just for anyone who reads this thread, i went to EPU today for a scan, measured 12 week and saw heartbeat and “baby” who is a little blob at the moment☺️ not sure what happened at my early scan. Maybe i was too early or equipment wasnt the same. Learnt my lesson to be patient from now on

Oop mean measured 6 week! Not 12! Getting ahead of myself😂

OP posts:
Kellyaust · 05/09/2023 15:56

Brilliant 🎉🎉

Carly0524 · 05/09/2023 16:20

Hi ladies, I have just found out I’m pregnant for the first time. Im about 5 weeks. Wondering if anyone self referred on badger notes and when I’m likely to hear back from them?

many thanks
nervous mum to be

m1234b19 · 05/09/2023 16:27

Hi! I’m 5 weeks 4 days pregnant and it seems that my tests are not getting ANY darker. i had some bleeding for 5 days, went in for a scan and the ultrasound tech said it could have just been unexplained bleeding or implantation. i’m so worried that i’ve miscarried as these lines just don’t seem to progress. anyone else have this happen?

5 and half week scan no yolk or pole- help
5 and half week scan no yolk or pole- help
5 and half week scan no yolk or pole- help
loladorsetlady · 05/09/2023 19:07

Carly0524 · 05/09/2023 16:20

Hi ladies, I have just found out I’m pregnant for the first time. Im about 5 weeks. Wondering if anyone self referred on badger notes and when I’m likely to hear back from them?

many thanks
nervous mum to be

Congratulations. I heard back within 48 hours and was given an appointment 3-4 weeks later

OP posts:
loladorsetlady · 05/09/2023 19:09

m1234b19 · 05/09/2023 16:27

Hi! I’m 5 weeks 4 days pregnant and it seems that my tests are not getting ANY darker. i had some bleeding for 5 days, went in for a scan and the ultrasound tech said it could have just been unexplained bleeding or implantation. i’m so worried that i’ve miscarried as these lines just don’t seem to progress. anyone else have this happen?

Hello

Have you asked for HCG blood test to be done? Do you have any symptoms? It could just be early or you could have your dates wrong. My HCG was slow to rise initially.

I experienced this before and it was a chemical but my tests were alot lighter than yours

I'd say dont give up hope but speak to GP if worried

OP posts:
Olika · 05/09/2023 19:24

Congratulations 🎉

m1234b19 · 05/09/2023 23:56

Thank you for telling me! for some reason they didn’t check my levels, just did an abdominal ultrasound where we saw a teeny tiny sac (they didn’t have an available transvaginal one). the bleeding in the beginning just freaks me out and i’m absolutely terrified it’ll be a chemical/miscarriage.

i have had symptoms though. tender breasts, nausea, hot flashes, food aversions, and lower back pain

Giacamo3 · 06/09/2023 13:32

@loladorsetlady congratulations! So pleased it was a case of late ovulation. It's so scary all this waiting and testing!

New posts on this thread. Refresh page