Meet the Other Phone. A phone that grows with your child.

Meet the Other Phone.
A phone that grows with your child.

Buy now

Please or to access all these features

Other subjects

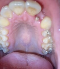
Can a dentist or anyone help please I’m not sure if I have dry socket

3 replies

Frankielxo · 18/08/2022 22:27

I had a tooth extracted 7 days ago now everything has been fine but tonite I started to get a mild throbbing pain on the extracted tooth I have salt washed and it was still throbbing. I can’t tell if I have dry socket or if it is the white granulating healing stage. I’m also concerned as I thought by day 7 the hole should be starting to close up please can anyone help

Can a dentist or anyone help please I’m not sure if I have dry socket
Can a dentist or anyone help please I’m not sure if I have dry socket
OP posts:
TPMG · 31/08/2022 15:13

Have you gone back to the dentist?

redredwineub40 · 10/10/2022 07:27

If it's throbbing and painful I'd say you have got dry socket and go back - had them when I had my wisdom teeth out, so painful.

Popvan · 10/10/2022 07:33

Go back, if it is dry socket they might pack it. Then arm yourself with clove oil, salt water and ibuprofen and be prepared for 2 weeks of pain followed by a slow heal for a couple of months.

New posts on this thread. Refresh page