Meet the Other Phone. Child-safe in minutes.

Meet the Other Phone.
Child-safe in minutes.

Buy now

Please or to access all these features

Conception

When's the best time to get pregnant? Use our interactive ovulation calculator to work out when you're most fertile and most likely to conceive.

Threatening miscarriage. Success stories and handhold please

49 replies

Pleaseletitbeme · 17/05/2019 14:25

Hi, I’ve hopped over here from the infertility board.
I’m 5weeks pregnant (icsi). Had a bleed last night- a few small clots, cramping and a little dark blood. I had no active bleeding overnight and have a small amount of brown discharge this morning.
I’ve been to my clinic and they’ve done bloods and a urine hcg (strong positive). I have repeat bloods Monday (beta hcg) and they’ve started me on injectable progesterone to go along with the pessaries I already take.
I’m absolutely beside myself with worry that I’ve had or I’m about to have a miscarriage.
Help.

OP posts:
Veryveryverylate · 26/05/2019 18:00

I'm one of the ladies who bleed during early pregnancy. It is not continual bleed, but a bit here and a bit there followed by spotting. Got a 5yr and 2yr now. Good luck Flowers

Pleaseletitbeme · 26/05/2019 20:45

Thanks everyone.
Bleeding stopped again.
Will phone clinic on Tuesday morning.

OP posts:
TTCVickster · 27/05/2019 11:48

Just stopping by to say I bled on and off until about 14 weeks. EPU scanned me every time I bled but I’m now 20 weeks with baby girl who just liked to keep us our on toes!

Kinsters · 27/05/2019 13:22

Sorry you're still bleeding. Mine stopped for a couple of days but now it's pretty much constant. Second scan showed good growth though so I'm trying not to stress too much, hard not to worry though.

Brenna24 · 28/05/2019 16:16

How did you get on today?

Pleaseletitbeme · 28/05/2019 16:39

Hi, feel too poorly with cold today.
No further bleeding. So just battening down the hatches until my viability scan on Friday.
Will keep you posted.

OP posts:
Pleaseletitbeme · 01/06/2019 19:09

Scan yesterday wasnt good news.
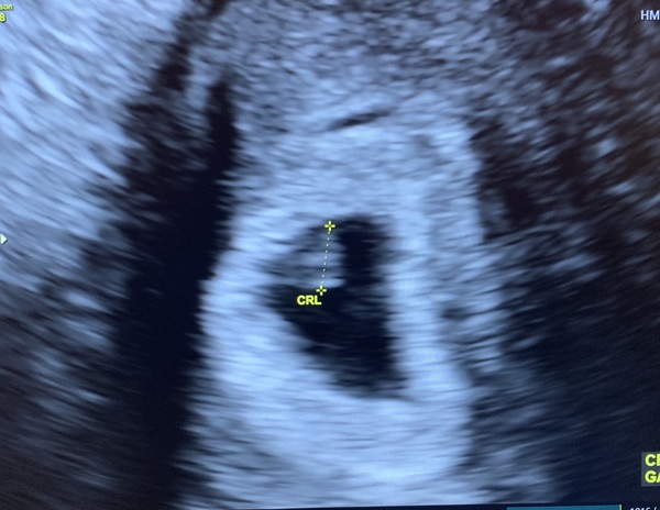
We couldn’t see a heartbeat and it measured at 6+1, not 7+3.
Have to go back in a week but it’s not looking good.

Threatening miscarriage. Success stories and handhold please
OP posts:
Newbie21 · 01/06/2019 19:35

@Pleaseletitbeme I'm so sorry that you've had bad news. Thinking of you and hope that you have all the support that you need x

WifOfBif · 01/06/2019 20:06

I’m really sorry to read your update Flowers

Whyhaveidonethis · 01/06/2019 22:35

Massive hugs. X

Pleaseletitbeme · 03/06/2019 15:08

Just an update.
Had another little bleed last night.
Spoke to clinic this morning who said keep appointment for rescan on Friday and rest until then.

OP posts:
Brenna24 · 04/06/2019 20:38

I am sorry that it wasn't more positive news at the last scan. I hope that Friday gives you your miracle.

Pleaseletitbeme · 04/06/2019 21:03

Brenna, thank you.
I have an appointment at the epu in the morning. At least I can plan a d+c to draw a line under it.

OP posts:
Brenna24 · 05/06/2019 19:46

How did today's appointment go?

Pleaseletitbeme · 05/06/2019 23:32

Hi brenna,
Not good.
It’s shrunken, no heartbeat.
Have to go for repeat scan in 1 week. However, have private appointment Friday at IVf clinic where I’m going to ask for swift d+c referral privately. I’ll pay. I just want this whole thing over. Carrying something dead inside me is killing my soul.

OP posts:
Newbie21 · 05/06/2019 23:35

@Pleaseletitbeme so so sorry to hear this. I understand, I did the same when it happened with my first MMC. Thinking of you. 💐

Brenna24 · 06/06/2019 20:33

I am so sorry. It is an awful feeling. one of mine died at 8 weeks (probably the day after a scan that said he was fine, I found out at 10 weeks and I finally lost him at 11+3. It was really hard walking around knowing he was gone and I was walking around carrying in. It was a bit of a relief when I lost him as awful as that sounds. I am surprised that you haven't been referred after 2 scans if you want the ERPC. I didn't need a second scan after the 10 week one as we had the 8 week scan as a baseline to work from. I hope that it doesn't take much longer. Take care of yourself and I hope that your journey from here gets easier and ends up with a successful pregnancy.

Pleaseletitbeme · 08/06/2019 20:53

I’m on the emergency list for d+c tomorrow. If they can’t do it tomorrow they will put me to the top of the list on Monday.

OP posts:
Pleaseletitbeme · 09/06/2019 16:34

So that’s my d+c over.
I cannot that the hospital staff enough.
They have me a lively little pack from Angel Gowns With Love.... I’m really touched.

The little card reads

“There is no footprint too small that it cannot leave an imprint on this world”

OP posts:
VenusStarr · 09/06/2019 16:44

Sending love @Pleaseletitbeme 💜 make sure you rest and be kind to yourself. I had a mmc in April and still find some days hard but it does get easier Flowers

rubyroot · 09/06/2019 16:58

I'm sorry for your loss. This WILL get easier. Flowers

Brenna24 · 09/06/2019 22:00

I am glad that the staff made the day easier for you. Rest and be kind to yourself.

Newbie21 · 09/06/2019 23:47

@Pleaseletitbeme I'm so sorry for your loss but glad that you have received such good care. Take time to rest. I had an MMC and D&C last year. It is devastating and difficult at times but having good care does help. I took some time off work following mine and I really needed that time to recover and grieve x

Seekaleeka · 14/12/2024 00:35

Hi, We have been trying for a baby the past few years. Until last night a clot came away. I then took a pregnancy test and it came up positive. I am bleeding heavy and a few stringy bits have came away today. Should I be worried this is a mis carriage. My GP said I have to wait until 10 to 14 days to do another pregnancy test. I am going out my mind thinking I have lost the baby in early pregnancy 😩

New posts on this thread. Refresh page
Swipe left for the next trending thread