Are your children’s vaccines up to date?

Set a reminder

Please or to access all these features

Birth announcements

Share your unique birth stories and read heartwarming stories from fellow mums. For more on your baby’s development, check out the Mumsnet Ages & Stages emails.

Gender of scan images

5 replies

Mmmmm2 · 03/09/2024 21:43

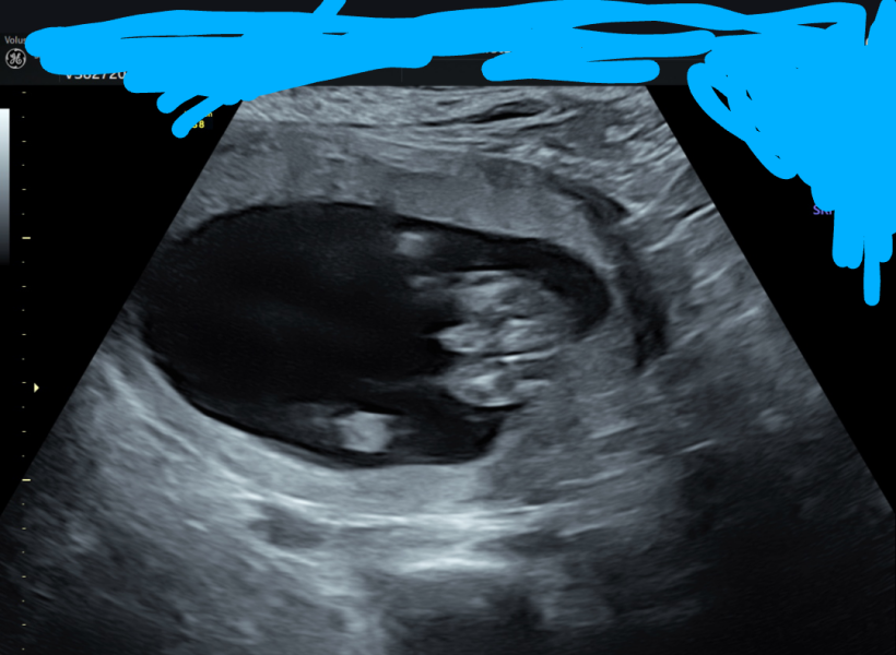
Can anyone see nub on scan image? Not sure what to look for

Gender of scan images
OP posts:
Are your children’s vaccines up to date?
sel2223 · 28/09/2024 08:55

Not sure if what I'm looking at is the nub but from that and skull shape i'd say boy 💙

homeandstay · 28/09/2024 08:56

Boy nub for sure

Mmmmm2 · 28/09/2024 22:08

sel2223 · 28/09/2024 08:55

Not sure if what I'm looking at is the nub but from that and skull shape i'd say boy 💙

No I definitely agree not the nub but I don't believe in skull theory there's no scientific evidence but thanks for your gender guess anyway.

OP posts:
sel2223 · 29/09/2024 02:49

Mmmmm2 · 28/09/2024 22:08

No I definitely agree not the nub but I don't believe in skull theory there's no scientific evidence but thanks for your gender guess anyway.

I think all these theories are just a bit of fun, don't you? With the skull shape, I'm just comparing to my 2 girls scans as it looks different.

Mmmmm2 · 29/09/2024 07:44

Guesses think it's quite obvious?

Gender of scan images
OP posts:
New posts on this thread. Refresh page
Swipe left for the next trending thread