Please or to access all these features

Antenatal tests

Get updates on how your baby develops, your body changes, and what you can expect during each week of your pregnancy by signing up to the Mumsnet Pregnancy Newsletters.

Hydrocephalus? - anyone good with scans

1 reply

MumOfHals · 23/02/2024 18:07

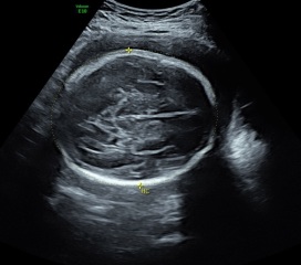
Can anyone see any fluid on my babies brain? I went for a private 4D ultrasound and they did a growth scan too, they said my baby had a slightly bigger head than average (98th percentile!!!!) and I've been googling..... she didn't mention any abnormalities.

She told me to mention to my midwife, but my midwife is on holiday and isn't returning for 2 weeks and maternity triage says it's a community midwife thing.

My husband has a large head so I'm hoping it's genetics only

Hydrocephalus? - anyone good with scans
Hydrocephalus? - anyone good with scans
OP posts:
AhBiscuits · 24/02/2024 17:18

My son had a 98th centile head. He just has a really big head, no medical problems at all.

New posts on this thread. Refresh page