Are your children’s vaccines up to date?

Set a reminder

Please or to access all these features

Birth clubs

Connect with mums-to-be with similar due dates to share experiences and support.

October baby bus take 3- booking in appointments and scans, here we come!

999 replies

Toast85 · 12/03/2015 21:13

So here we are with the third thread, hope you all find it!

OP posts:
Are your children’s vaccines up to date?
Thread gallery
18
gingerbreadmam · 24/03/2015 18:45

sorry i meant all the thoughts as in when i was looking for info and advice.

flipflump · 24/03/2015 20:52

Thank you gingerbread, I keep telling myself not to worry but it's easier said than done.

whoknew28 · 25/03/2015 11:41

Hope you're okay flip, sure you will be.

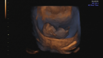
Had my 10 week scan today and all is well, so utterly relieved, esp after not feeling v pregnant at all - smidge tired and bigger boobs, but that's it really. Baby actually looked like a baby this time and even waved at us on the screen! Crazy! Will post a pic up tonight when I can access a desktop comp rather than my phone. Holy crap... This is actually happening, isn't it? First time I've felt like that - anyone else feel the same?!

Choccywoccydodah · 25/03/2015 14:26

Awww who it sunk in after my first scan (6 weeks) as I was amazed to get that far, then after the 8 week one it sunk in even more. I've got my 10 week (+2) next Tuesday and I think it will then hit me hard!! But once we've told Ds after the 12 week one I think it'll really start to feel real as we'll be able to talk about it more :)
Can wait to see piccy!!!!

gingerbreadmam · 25/03/2015 15:28

how are things today flip?

flipflump · 25/03/2015 15:46

Was just coming to update. There's been no more since I posted yesterday. Phew!! Thanks for asking and I appreciate all advice x

NonnyBunny · 25/03/2015 16:30

Hello! it's a bit late, but can I join this thread too please?

I am 35 yo, first pregnancy, 12+0, and really anxious about my scan tomorrow night.

I had my booking appointment and dating scan last Thursday, and everything looked good- baby very active, good strong heart beat, but the sonographer said could we come back in 30 mins for another scan as she couldn't get the right position to see what she needed to see. I wasn't at all worried but when she called me back in I (stupidly!) asked her what she was looking for and she said that on the first scan she thought she and her colleague had seen an increase in the nuchal fluid on neck, but that now she couldn't see it any more. I freaked out a bit (I feel like this pregnancy is turning me into a total drama queen! I'm so worried and preoccupied about everything ) but she said she wasn't too worried and that she might have just been seeing the amniotic sac up against the neck in the first scan. We are going back tomorrow for her to have another look.

I can't help thinking the worst. As I was queuing to get my next appointment after the scan and was busy worrying about the nuchal fold I fainted, I think a combination off the heat in there, the anxiety and low blood pressure- felt so silly, especially as there was no confirmation that there was a problem.

Any suggestions on how to distract myself between now and tomorrow's scan would be very welcome as I'm driving myself mad. I've even started worrying about whether the blood tests they took last week will reveal some nasty STD from my misspent youth!

gingerbreadmam · 25/03/2015 16:35

aww flip that sounds promising. im sure everything is fine.

im sure there is nothing to worry about with your scan tomo. i would stay away from google and just let the nurses do their job. from what i can gather at that stage they cant really determine much anyway u have to have further tests so its not worth worrying at this point. im sure everything will be fine and baby is just an awkward little thing!

batfish · 25/03/2015 16:35

Great news flip that things seem to be OK today!

batfish · 25/03/2015 16:38

Welcome nonny and you poor thing that must have been scary for you! Fingers crossed all fine, if she saw something quickly then had another look and couldn't see it then hopefully she was just mistaken the first time. But I have turned into a massive stresspot since finding out I was pregnant too, it's awful and time goes so slowly when you're worried! Keeping everything crossed for you, hopefully nothing to worry about. I am 11+5 today so we are very close in dates!

Adventuregame · 25/03/2015 16:55

Whoknew another one for the no symptoms club with me and Batfish !
I'm 11+1 and have my nuchal scan a week today. I don't feel at all pregnant apart from the sore boobs but even that has subsided over the last week ?
I'm prepared for them to tell us that it stopped growing some weeks ago and then anything better will be a bonus ?

NonnyBunny · 25/03/2015 16:58

Thanks for the reassurance, ginger and batfish!

Yes hopefully all will be okay, just need to keep my brain busy with things not related to nuchal folds for the next 24 hours... You are right I really need to avoid google. That is what I was foolishly doing in the queue at the hospital when I fainted...!

gingerbreadmam · 25/03/2015 17:18

i'd be the same tbh but honestly at this stage its not worth worrying about and you'll probably find more scare stories than anything else.

good luck tomorrow and try to keep your mind occupied. i'm sure everything is fine. like batfish said if they couldnt find it again they were probably mistakenm

whoknew28 · 25/03/2015 21:09

Thanks Choccy - and Adventure and Batfish, just can't quite believe we've managed to dodge the vom and other symptoms, still keep thinking it's going to bite me in the ass at some point. Maybe we'll just experience more vom from our babies instead, to even things up for all the poor suffering ladies who're feeling rank now?!!

Nonny - fingers crossed for you, Google is the enemy sometimes. And pretty much everyone becomes a massive neurotic fruitloop during pregnancy. And if they don't, they're in denial.

Flip - so pleased there's no more bleeding, great sign.

So... here are the photos! The fancy 4D one is so weird - can't believe they can get such a defined pic at 10 weeks?! How was this baby only the size of a poppy seed 6 weeks ago? Mind. Blown.

October baby bus take 3- booking in appointments and scans, here we come!
October baby bus take 3- booking in appointments and scans, here we come!
NonnyBunny · 26/03/2015 06:41

Thanks, Whonew. Glad to hear I'm not the only fruitloop out there Smile
Glad your scan went well, fantastic pics! Like you and many others on this thread I have had very few symptoms apart from sore boobs too, so was similarly shocked to see an active baby. And a friend of mine who is now 27 weeks had NO symptoms at all and all is fine. I think the fact that people say 'it's a good sign if you feel really sick' makes those of us with few symptoms worry, but I think that is probably said just to make pregnant women feel better when they are feeling horrible!

batfish · 26/03/2015 10:35

Yeah I need to focus on the succeas stories of no symptoms instead of the sad ones. They are the minority but unfortunately the ones that we tend to listen to when we're worried.

If all is fine then I am SO glad I've felt fine, some of you sound like you have had an absolutely horrible time of it you poor things and probably can't believe some of us are complaining about feeling OK.

batfish · 26/03/2015 10:35

Oh wow whoknew they are incredible pics!

catness1 · 26/03/2015 13:14

Hello. Can I join the bus?

I'm 11+4 today on my first pregnancy, due October 10th. I'm currently a nauseous, vomit-y mess, none of my bras fit anymore and I cried at a plumber last week.

Will this get more enjoyable at some point?

whoknew28 · 26/03/2015 13:30

Thanks Nonny and Batfish, even the sonographer was surprised by how good they were! Baby was just in the right spot, and it was a nice private clinic with brand new equipment, so all made for a clear pic.

You're right - even though more often than not you'll be fine even with no symptoms, it's the minority stories that catch your attention and start to feel more likely than they really are. For me it doesn't help that this pregnancy is exactly like my first one that ended after seeing a 7 week old sac at the 12 week scan with no warning. BUT - they are so unusual, and let's just go with the fact that I've had the one in 10,000 or whatever it is, so all of you ladies will be fine Smile

Adventuregame · 26/03/2015 13:39

Catness I'm 11+2 so close to you !!
First pregnancy as well !
I can only sympathise with the symptoms as I seem to be one of the lucky ones........or very unlucky which remains to be seen if there's still anything to see at 12 week scan on Wednesday next week !!

NonnyBunny · 26/03/2015 14:19

Whonew it must make it so much harder when you've been through something like that before but the chances of the same thing happening must be miniscule. I'm sure we'll all be fine!

catness1 I feel your pain! My nipples feel like I'm having hot pokers pressed against them most of the time and all of my bras hurt - I tried getting a wireless one and that hurt even more! Not sure about buying new ones if they are just going to keep getting bigger?! I'm convinced it must get more fun after 12 weeks... I'm looking forward to telling people, assuming my scan goes okay this evening.

scatterbrainedlass · 26/03/2015 14:41

Eeeek, just had my scan appointment through, 13th April. Suddenly feel really nervous, not sure why!! I think it'll all seem real when we see the baby on a screen. Waiting for a call back from the hospital to see if we change the appointment to a Saturday, really want DH there Blush

batfish · 26/03/2015 16:21

Ooh scatter 13th April is a good date, it's the day I married my lovely hubby! Not long to wait!

Toast85 · 26/03/2015 17:39

I met a friend of a friend (before I was pregnant) who was about 18 weeks at the time, and told me she had felt absolutely no different from usual throughout the whole pregnancy so far, other than she was getting a bit of a bump by then. I remember thinking 'wow how lucky' at the time... Before I realised how stressful the first tri is!
I feel I've had just enough symptoms to count as symptoms- nausea and boob soreness wore off at about 6-7 weeks, no sickness at all, but I have had a bit of bloating, twingy aches and pains, hormonal bitch explosions, and currently experiencing overwhelming exhaustion like I've never had before. Thing is it's all a bit subjective, I'll be happier when I've had another scan as concrete evidence!
Anyway I'm sure I've heard stories of people who have carried on having symptoms up to their scan, only to find that they'd had a mmc weeks before. So basically there's no way of knowing but it is very rare.

OP posts:
catness1 · 26/03/2015 17:41

Adventuregame I guess the horrible bits are quite reassuring. I'm pretty certain I am indeed pregnant! Good luck for your scan. I hope everything's ticking along well and you are actually lucky Smile

NonnyBunny Awful isn't it. I think I've gone up about 2 cup sizes, which given I wasn't the smallest to begin with just makes it look like my breasts are trying to take over the whole world. I hope they don't get any bigger...