Meet the Other Phone. Flexible and made to last.

Meet the Other Phone.
Flexible and made to last.

Buy now

Please or to access all these features

Birth clubs

Connect with mums-to-be with similar due dates to share experiences and support.

Pregnancy after loss - Autumn babies 2021 - Thread 2

999 replies

Pancakes7 · 09/03/2021 09:20

Hi All,

I thought I'd start a new thread before we fill the other one.

@Bellabubble
@Firevie
@PumpkinEverything
@MrsF111
@MrsTD88
@Strawberry08
@imisscoffee
@Greenrubber
@vitaminb33
@Smurf123
@NorthernGirl1991
@bookwitch13
@JRH4622

Hopefully I've tagged everyone!

OP posts:
Thread gallery
23
vitaminb33 · 10/03/2021 16:53

Good luck to everyone having a scan tomorrow I'll be thinking of you 🥰

@JRH4622 oh god those blood thinner injections are one of my most unpleasant memories of recovering from a c-section, so sorry you have to do them every day! Definitely deserves all the sympathy

JRH4622 · 10/03/2021 16:59

@vitaminb33 they are miserable! How long did you do them for your c-section? I will have a planned c-section so probably be on these buggers for the whole 9 months! I make patterns on my tummy with the bruises...im doing a smile at the minute to keep myself entertained and positive about them!

imisscoffee · 10/03/2021 17:16

@Pancakes7 hope you've had a better afternoon lovely. The anxiety will come, but it will go too, you just have to ride it out ❤️ glad your mum is there with you.

@JRH4622 is it clexane? I had them for 6 weeks after losing Frank, my belly was such a mess by the time I'd finished, rock hard bruises. DH was convinced I was doing them wrong but when I googled clexane bruising the image results showed I got off lightly!

@Bellabubble I never knew that about mid stream urine and this is my 4th pregnancy. My pelvic floor is too far gone for that mind, once I start to wee there's no way I'm stopping 😂

URGHHHHH scan is a few hours away (7.45, I'm usually in bed by 8!) and I'm trying to stay calm.

Pancakes7 · 10/03/2021 17:22

@Bellabubble I didn't realise you had a scan today. Good luck. I hope all goes well.

@JRH4622 can I ask why do you need to take the blood thinner injections? They should tough. I had a c section with my son but luckily didn't need them.

@imisscoffee Tbh Seeing my Mum helped but now it's just me and my son I've just had a full freak out. I felt like I was having a panic attack. I think I've been keeping my anxiety at bay for so long it's all just coming out now.

Good luck everyone for tomorrow. I'll be thinking of you all.

OP posts:
Pancakes7 · 10/03/2021 17:22

@JRH4622 sound* tough

OP posts:
Bellabubble · 10/03/2021 17:27

@Pancakes7 it was just a midwife appointment today for the first lot of bloods - I think I also have to give bloods again at the 12week scan as I’m having the screening done too!

Pancakes7 · 10/03/2021 17:32

@Bellabubble silly me! It is @imisscoffee who has a scan today. Good luck!! I hope all goes well xx

OP posts:
Pancakes7 · 10/03/2021 17:33

@Bellabubble Yep it's bloods at 12 week scan too and again at 26 weeks I think it was.

OP posts:
JRH4622 · 10/03/2021 18:52

@Pancakes7 I have "sticky blood" and if any blood clots pass over the placenta is would cause MC. I have to inject until told to stop! Lol
My bruises aren't too bad actually but I feel like a pro now lol
@imisscoffee it's tinzaparin, they are all rubbish...just injecting yourself makes you super woman status in my opinion! Xx

PumpkinEverything · 10/03/2021 19:09

Good luck @imisscoffee 😊 hope it all goes well! Not much longer to go 🤞🏻 Then you can go home and get yourself to bed 😁

Pancakes7 · 10/03/2021 19:28

@JRH4622 Wow, you're amazing doing that everyday!! Definitely Super woman! 👏🏻 Great they've given it to you to help as well.

OP posts:
JRH4622 · 10/03/2021 19:31

@Pancakes7 thank you...feel like wimp when it hurts but its worth it xx

vitaminb33 · 10/03/2021 19:36

@JRH4622 I think it was for 2 weeks! I'm really impressed you inject yourself. I'm usually completely fine with needles but when I tried to inject myself it's like I had a complete mental block about it, just couldn't stick it in! I made my partner do it 😅

JRH4622 · 10/03/2021 19:48

@vitaminb33 oh I understand that! My sister in law is a nurse and did the first few in my last pregnancy but I felt like I didn't want to be tied to when she could come over so she taught me! I see it as loving my baby and doing the best thing for him/her! It has help my connection in this pregnancy...sounds strange I know!

imisscoffee · 10/03/2021 21:58

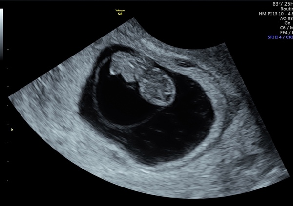
One baby, with a heartbeat, in the right place ☺️ the relief is absolutely huge. I'm a bit numb to be honest, I thought I'd feel happier but it brought up a lot of sadness, especially looking at the scan seeing a baby with plenty of room in the sac. After my waters went, my last few scans were awful, it was around the time everyone in my May group were having gender scans and posting scan photos with babies surrounded by fluid, and mine had none. Sorry to be so negative. I am genuinely over the moon that everything is ok in this pregnancy, I just wish I could feel a bit happier about it.

Pregnancy after loss - Autumn babies 2021 - Thread 2
vitaminb33 · 10/03/2021 22:40

Oh huge congratulations @imisscoffee! 🎉🎉 Lovely scan picture, you've been through so much it's entirely understandable how it's a bittersweet moment ❤️

@JRH4622 Yes that makes sense, it's tough but you're doing it for your baby. Still also very impressive!

MrsTD88 · 11/03/2021 03:49

Just thought I'd pop by and say good luck to all those having scans today.

I have been so exhausted this week and my sleep is all over the place so I have missed lots of updates. I have been up since 3am, woke up so hungry! Re clexane injections, I had those after c section, sure it was for 2 weeks and then my midwife took away the sharps box after one of her visits. I injected into my thigh, doctors said that was fine.

@imisscoffee so glad your scan went well. ❤

Pancakes7 · 11/03/2021 06:09

@imisscoffee Wonderful news!! I'm so glad all is ok!!

Good luck everyone for your scans today. 🤞🏻🌈

OP posts:
marplemead · 11/03/2021 06:38

@imisscoffee Lovely news! So happy for you ❤️ And you will get there too, once the shock wears off.

I think the whole experience of being pregnant again is bittersweet. Everything reminds us of previous losses. Maybe an opportunity for us to process what has happened to us before our healthy babies arrive?

@MrsTD88 Thank you. I've been up most of the night too. I just can't sleep for a few hours each night. It's so exhausting isn't it?

I'm sure the nerves will kick in soon, but I feel strangely calm about the scan this morning. I've already won the lottery with DD, and this is the last time I am putting myself through this.

Good luck Thursday scan ladies!

JRH4622 · 11/03/2021 07:24

@imisscoffee congratulations!! Dont put too much pressure on yourself you are doing brilliantly!!
@vitaminb33 thank you!

JRH4622 · 11/03/2021 07:25

Good luck with scans today! Cant wait to hear wonderful news!!

MrsTD88 · 11/03/2021 08:18

@marplemead it is very draining, I'm still working full time but feel like I'm making so many silly mistakes! I feel the same as you, I don't want to ever put myself through this again. My husband and I said this was our last try and hoping it works! X

marplemead · 11/03/2021 08:31

@MrsTD88 👏🏼 I could not work full-time with how I'm feeling at the moment. I work part-time and I'm still struggling. Baby brain is definitely a thing. Don't beat yourself up over a few mistakes - people will understand once they know you are pregnant. I haven't actually discussed with DH that I don't want to try again if this pregnancy doesn't work out, but I'm pretty certain about it. The cycle of ttc, being pregnant and the mcs have taken their toll, and I don't want to do it anymore.

Argh, about to leave for the hospital and the nerves have started to kick in. Does anyone know if a scan at around 8+3 is transvaginal or not?

Pancakes7 · 11/03/2021 08:37

@marplemead I think it might be. I can't remember if the cut off is 8 or 9 weeks. If they didn't specify then maybe not. Fingers crossed for you x

OP posts:
MrsTD88 · 11/03/2021 08:39

@marplemead Thank you, I've told one colleague who is a Director so far and she was very happy for us and told me to rest when I need to so think I may have to take advantage of that today! I'm 100% with you on that, there is only so much your body and mind can take. Good luck! Looking forward to your update. They may try abdominal first and then go to transvaginal for a better view. Last one I had at epu was at 8+4 and she managed to get all measurements abdominally.

Please create an account

To comment on this thread you need to create a Mumsnet account.

This thread is closed and is no longer accepting replies. Click here to start a new thread.

Swipe left for the next trending thread