Are your children’s vaccines up to date?

Set a reminder

Please or to access all these features

Pregnancy

Talk about every stage of pregnancy, from early symptoms to preparing for birth.

Dec-Christmas Babys 2024

1000 replies

UnicornPrincessSarah · 25/03/2024 15:24

Made this extra group for us ladies who are due in Dec

Little about me I'm 34 nearly 35 DH 39 nearly 4

TTC for 3 months, My rainbow baby after a loss at 18 at 6/7 weeks

I'm from a town called Dagenham in the UK

Can chat about anything you like or if you feel you need to vent lol

OP posts:
Are your children’s vaccines up to date?
Thread gallery
106
magicalmama · 27/04/2024 18:25

@catmumma84 thank you! Congratulations to you too!
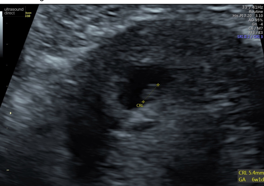
It was 6w+2days and the heartbeat was just 114. I thought this is low but they said it's only just started beating so this is healthy. They said it is too early to date it though (even though I am very sure of my dates) and will do that a bit better at the 8 week scan.

I am having extra scans because I'm nervous.

Can you hold off til 6w+2 or +3?
Did you get a referral for an early scan?

I think that's when I read the heard should be beating and also once they can measure a crown to rump length of 5mm.

magicalmama · 27/04/2024 18:27

Nbaby · 27/04/2024 16:47

I’m having very little symptoms but trying not to worry as don’t have anything “bad” happening as well. Sense of smell is very strong which is putting me off certain things.. all of a sudden cannot stand the smell of weetabix when I have had it most mornings and make it for dd almost every morning. Headaches and very tired in evenings no sickness yet (would love to be sick atleast once for reassurance)

I'm sure it is going ok even without symptoms. I've never had symptoms and didn't have any problems in my first pregnancy. First symptom other than fatigue and a missed period was getting the bump at 14 ish weeks!

Nbaby · 27/04/2024 18:42

@magicalmama oh really that’s reassuring! Thanks.. My first pregnancy was soo different I was so sick from 5/6 weeks right to the end.

Aoife2024 · 27/04/2024 19:06

Thanks @Lunamoon23 , I've relaxed more now and just waiting to see. I'm still getting headaches on and off.... but no cramping or bleeding so as you say that's the most important!

Aoife2024 · 27/04/2024 19:21

I know how you feel @Molly4689 about fluctuating symptoms... my GP requested a early scan for me so hopefully will get it at 10 weeks which is few weeks away!

catmumma84 · 27/04/2024 19:35

How often are everyone’s cramps and how long do they last for at a time? I’m 5 weeks and probably say I get them every few hours and they last for a couple of minutes at a time
and how would you desribe the pain? Mine feel sometimes like how I feel the day before AF comes - is this normal?
xx

dreammama · 28/04/2024 08:44

@catmumma84 sounds totally normal to me! I had twinges and mild cramps from 4 weeks. I’m 8+4 now and still get them on and off. It’s worrying, especially when it feels like a period is coming, but it seems so many of us are experiencing the same! Don’t forget your body is going through a lot right now and everything inside is having to move, adjust and expand.

RedRobyn2021 · 28/04/2024 12:14

Feeling rough again today and a bit sorry for myself. My 3yo is being so difficult and I don't have the energy for the constant negotiations. I was trying to brush her teeth this morning and she just kept running away, I just wanted to cry. Gave up and let DP have the pleasure

Aoife2024 · 28/04/2024 12:39

I hear you @RedRobyn2021. My 3 year old still wakes up during night and when I can't get back to sleep it affects me so much. I Broke down in tears yesterday from exhaustion but went back to bed in morning and felt better. I think you need to prioritise your wellbeing and reduce stress. Is it a big deal if your 3 year old skips brushing teeth? I got a cleaner while I'm in the first trimester to reduce stress.

ChocolateLemons · 28/04/2024 14:10

RedRobyn2021 · 28/04/2024 12:14

Feeling rough again today and a bit sorry for myself. My 3yo is being so difficult and I don't have the energy for the constant negotiations. I was trying to brush her teeth this morning and she just kept running away, I just wanted to cry. Gave up and let DP have the pleasure

I have the same with my two year old. Tried to make her toothbrush into a character which worked for a week - but now has backfired and she just wants to play with the toothbrush! Why did I start this... Tactical error!

MotherofGods · 28/04/2024 16:15

Had my scan today! Said I must of ovulated later then I thought, well I wasn’t sure when I had am a little confused tho as they put me at 6weeks 1 day and I got my clear blue 3+ on the 15th ? I’m confused but trying to stay positive as I saw heart beat 🖤 due date of 21/12/24 xx

Dec-Christmas Babys 2024
NSC1980 · 28/04/2024 17:20

Aoife2024 · 25/04/2024 17:04

@NSC1980 any update on your hcg levels? I took a digital test and it's reading 2-3 weeks and I'm 5 weeks, 1 day.... I think I'm going to cut out the testing now and wait for my scan...

@Aoife2024 sadly I was right to be worried. My HCG had only increased by 50% in 48 hours so took myself to A&E on Thursday and told them I suspected ectopic. After a four hour wait, they referred me upstairs to EPU where I was told they can’t just scan everyone and I didn’t look like I was having an ectopic. Eventually they gave me an appointment to come back the next day and be scanned - where they discovered it was indeed ectopic and the tube had ruptured so there was internal bleeding. Suddenly they took things very seriously and I was in emergency surgery an hour later to remove the tube. At home recovering now, feeling completely heartbroken and empty.

Sorry for the negative story - I hope everything is moving in the right direction for you and you’re not feeling too anxious.

Harribo86 · 28/04/2024 17:31

catmumma84 · 27/04/2024 19:35

How often are everyone’s cramps and how long do they last for at a time? I’m 5 weeks and probably say I get them every few hours and they last for a couple of minutes at a time
and how would you desribe the pain? Mine feel sometimes like how I feel the day before AF comes - is this normal?
xx

I have had this, i'm 6 weeks (if clear blue was correct when I did it 2 weeks ago).
But the whole time I've had on and off cramps. Everyone on here reassured me it's normal, if that helps :)

Aoife2024 · 28/04/2024 17:35

@NSC1980 that is such sad news and my heart goes out to you. How right you were to follow your instincts and go to hospital, otherwise things could have been worse. I hope you will have good news in the near future and you can put this difficult situation behind you. My symptoms still haven't progressed and breast tenderness seems to be main symptom. I might get my hcg checked after hearing your story. I really appreciate you sharing it with me and Im so sorry again to hear your news ❤️

NSC1980 · 28/04/2024 17:43

@Aoife2024 sorry - you’re probably anxious enough without hearing bad news from me. Remember that it’s really rare for this to happen and it’s far more likely everything will go well for you. I think the HCG is a good indicator of how things are going and with hindsight I’m glad I did it as it enabled me to get help (albeit delayed) before I got really poorly. If you do get your HCG checked, I have my fingers crossed it goes the other way for you and helps lessen the anxiety x

Westy84 · 28/04/2024 20:04

Nbaby · 27/04/2024 16:31

Hi all, I was thinking of booking a private scan at 7+1? Has anyone had scans yet would this be a good time? Or what has everyone booked if going for a private scan

I had my first scan at 7+1 weeks and saw our little jellybean and heard their heartbeat.

Nbaby · 28/04/2024 20:42

@Westy84 aw how lovely, can you remember if you had any symptoms around this time I’m 6w2 and having nothing but a few headaches last day or 2

RedRobyn2021 · 28/04/2024 21:01

What a brilliant idea @Aoife2024 we had a cleaner when I was pregnant last time and it was a lifesaver, I was working full time then though. I do miss it tbh

RedRobyn2021 · 28/04/2024 21:04

@ChocolateLemons yes making objects talk is a winner in our house too. I think in the moment I'm just thinking "brush your teeth! It's not a big ask!" But I would make things easier on myself if I tried to make it more fun

curiouscat1987 · 28/04/2024 21:34

RedRobyn2021 · 28/04/2024 12:14

Feeling rough again today and a bit sorry for myself. My 3yo is being so difficult and I don't have the energy for the constant negotiations. I was trying to brush her teeth this morning and she just kept running away, I just wanted to cry. Gave up and let DP have the pleasure

Ours is being funny about this too, ive invented a 'brushing teeth song' for her that i sing whilst doing it, and sometimes have to bribe with an extra story at bedtime for example. I also explained about bacteria and why its important to keep them clean so they dont get sore, which she seems to get!

curiouscat1987 · 28/04/2024 21:36

NSC1980 · 28/04/2024 17:20

@Aoife2024 sadly I was right to be worried. My HCG had only increased by 50% in 48 hours so took myself to A&E on Thursday and told them I suspected ectopic. After a four hour wait, they referred me upstairs to EPU where I was told they can’t just scan everyone and I didn’t look like I was having an ectopic. Eventually they gave me an appointment to come back the next day and be scanned - where they discovered it was indeed ectopic and the tube had ruptured so there was internal bleeding. Suddenly they took things very seriously and I was in emergency surgery an hour later to remove the tube. At home recovering now, feeling completely heartbroken and empty.

Sorry for the negative story - I hope everything is moving in the right direction for you and you’re not feeling too anxious.

Im so sorry, that sounds really scary and awful for you to go through. Have you got support at home? Sending love xx

AlbieBrz · 29/04/2024 16:21

NSC1980 · 28/04/2024 17:20

@Aoife2024 sadly I was right to be worried. My HCG had only increased by 50% in 48 hours so took myself to A&E on Thursday and told them I suspected ectopic. After a four hour wait, they referred me upstairs to EPU where I was told they can’t just scan everyone and I didn’t look like I was having an ectopic. Eventually they gave me an appointment to come back the next day and be scanned - where they discovered it was indeed ectopic and the tube had ruptured so there was internal bleeding. Suddenly they took things very seriously and I was in emergency surgery an hour later to remove the tube. At home recovering now, feeling completely heartbroken and empty.

Sorry for the negative story - I hope everything is moving in the right direction for you and you’re not feeling too anxious.

I was really sorry to read this and hear about your loss. I'm also so sorry that your concerns were initially dismissed! Absolutely horrifying. Thank goodness you followed your gut instinct! It sounds so scary - I hope you're recovering okay now. Sending strength to you <3

lola8319 · 29/04/2024 17:30

Hi! Watching the thread, I´m currently 5w+2d, had a MC August 23 at 8 weeks. I feel very tired, sore breasts, sometimes nausea and cramps. I just had my blood pregnancy test today and it was positive.

starryx · 29/04/2024 17:55

Heyo all I'm 6 + 5
Really off foods lol, still getting nausea without sickness a lot and tiredness. Extremely sore nipples have continued and they got darker. My moods over the past days have definitely kicked in.
Now I'm craving whiskey 😂😂😂
I can't wait to be able to eat normally and enjoy food.

pinkpetunias · 29/04/2024 19:40

My nausea has kicked in this week. If I manage to snack all day and not eat large meals it’s fine but if I get hungry it’s game over and the nausea doesn’t even go after I’ve eaten. Learnt that the hard way this afternoon and felt like I was going to be sick on the tube on the way home! Feel like I’m going to be constantly snacking from my bag… I also can’t face anything healthy the thought of green veg turns my stomach!

Please create an account

To comment on this thread you need to create a Mumsnet account.

This thread is not accepting new messages.