Are your children’s vaccines up to date?

Set a reminder

Please or to access all these features

Pregnancy

Talk about every stage of pregnancy, from early symptoms to preparing for birth.

OCTOBER 2024 BABIES :) THREAD 3

1000 replies

CDD · 15/03/2024 08:21

Welcome all expectant mothers of Oct 2024… This thread has been made as we are nearly getting to the end of the 2nd thread and that was made a little last time and people didn’t find it for a abit so making this one now so people can just add their names until the 2nd thread is full. Hope no one minds me doing this :)

OP posts:
Are your children’s vaccines up to date?
Thread gallery
51
Joey2011 · 23/03/2024 15:12

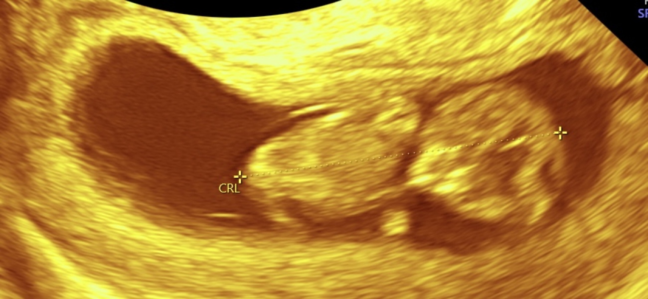
So I had a 10week scan today. All doing very well. And measuring at 9w+6 so spot on. Baby had hiccups 🥰 and was right wriggling round.
Wish I could show you the videos. I can't stop watching it 😁

OCTOBER 2024 BABIES :) THREAD 3
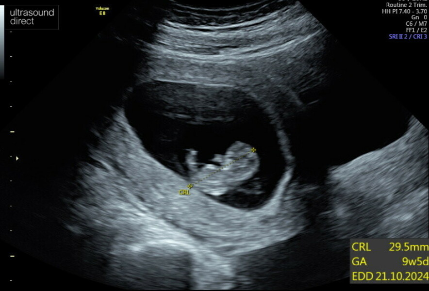
CluelessInLondon · 23/03/2024 16:55

12 week scan done for me - baby has grown ahead of schedule since my last scan and I've been dated at 13 weeks so technically now a September baby! We got to hear the heartbeat, which was amazing, and we could see it moving its mouth - I like to think it was saying hello to us. ☺️

OCTOBER 2024 BABIES :) THREAD 3
WickWood · 23/03/2024 17:17

@Joey2011 Aww a lovely little baby!

@CluelessInLondon What a fabulous photo! We are now both due September babies! Though I'm a FTM so I expect an October baby anyway 😂

LuxeBiscuit · 23/03/2024 17:19

@CluelessInLondon so, so pleased for you! Such a lovely, clear scan as well.

CluelessInLondon · 23/03/2024 17:27

@WickWood Same here, it's my first and I've always been told first babies are far more likely to be late than early or on time (no idea how true that is statistically!) - so kind of still expecting an October arrival!

JLT24 · 23/03/2024 17:37

@Joey2011 @CluelessInLondon lovely scans 🥰

WickWood · 23/03/2024 17:37

@CluelessInLondon I think that is true for first babies! How are you feeling? I go from excited to terrified!

CluelessInLondon · 23/03/2024 17:41

@WickWood Still struggling to translate the fact that I'm pregnant into the realisation that I'm going to have an actual baby to look after in a few months' time! Feel like I still have so much to learn about pregnancy before I even get onto what to do with a baby... Fortunately nearly all my friends have children already so I am going to be tapping them up big time for survival tips/baby hacks over the next few months!

WickWood · 23/03/2024 18:05

@CluelessInLondon Aww that's helpful then! I definitely know what you mean, I don't think it'll feel real until the baby is home, and all the visitors have calmed down!

AppleTree16 · 23/03/2024 18:19

We also had a scan today. Measuring slightly ahead so now 10+6 not 10+3 as we thought. Baby bouncing all over the screen!

OCTOBER 2024 BABIES :) THREAD 3
AppleTree16 · 23/03/2024 18:20

CluelessInLondon · 23/03/2024 16:55

12 week scan done for me - baby has grown ahead of schedule since my last scan and I've been dated at 13 weeks so technically now a September baby! We got to hear the heartbeat, which was amazing, and we could see it moving its mouth - I like to think it was saying hello to us. ☺️

We also saw the mouth moving today. So amazing to see at such an early point. ❤️

rachisamumtobe · 23/03/2024 18:39

@CluelessInLondon wow look! How amazing

Bee49 · 23/03/2024 19:33

@WickWood and @CluelessInLondon I was completely expecting to go to 42 weeks with my son as a first time mum and he came at 39+1 on the first day of my maternity leave. You never know!

LiviaX · 23/03/2024 19:37

@mrssunshinexxx I’ve got my first booking appointment on the 2nd which feels sooo far away. I’ve still not heard anything about the 12 week scan though, which is annoying when it should be so soon and I get nervous they’ve forgotten me and they’ll have no slots at this rate.

WickWood · 23/03/2024 19:38

@Bee49 Oh really, I bet that was unexpected!

tryforbabynumber2 · 23/03/2024 20:00

Loving all these scan pics!! 😍 Can't wait for our next scan (booked for 10+6 on 5th April private) then our NHS scan at 12+5 on 18th April ❤️ xxx

CosyGreyLion · 23/03/2024 21:37

So, I have found my answer to the constant feeling sick… I have bought the sickness bands and they have worked wonders for me. I’m still struggling with feeling bloated and trying to find something to drink that doesn’t leave my mouth tasting awful is proving difficult. I’ve got another scan next Saturday (couldn’t see a heartbeat on the one last Saturday) and I’ve got my booking appointment on the 2nd of April xx

CDD · 23/03/2024 21:49

So had my 12 week scan Thursday went in thinking I was 12+1 but they have dated me at 13+6 so due date is now 27th Sept. Everything was fine they said and we saw a healthy beating heart. Baby was a right wriggler and kept trying to hide. I had my bloods done and was given dates for my consultant appointment, my 2nd NHS scan and the dates for my glucose testing. So happy now finally had my first scan for this pregnancy and feel I can breathe now and try to relax abit more. Hopefully that pregnancy glow starts soon and I get abit of energy back and less sleepy.

OCTOBER 2024 BABIES :) THREAD 3
OCTOBER 2024 BABIES :) THREAD 3
OP posts:
WickWood · 23/03/2024 22:04

@CDD Aww what a beautiful scan and photo ❤️

Joey2011 · 23/03/2024 22:19

@LiviaX don't worry, once you go to your booking appointment they will get in touch with your chosen hospital and you will receive your appointment about a week or so after. I didn't receive mine until I went.

Oct24 · 24/03/2024 02:03

Loving all these scan photos! I have my 11 week scan on Wednesday. NIPT test on Tuesday so I'm in for a loooooong wait before I get to announce anything to friends and family.

LiviaX · 24/03/2024 08:05

Joey2011 · 23/03/2024 22:19

@LiviaX don't worry, once you go to your booking appointment they will get in touch with your chosen hospital and you will receive your appointment about a week or so after. I didn't receive mine until I went.

Thanks! That’s reassuring to hear. They originally sent my booking appointment for when I was going to be 11 weeks so I’m definitely nervous about everything ending up super delayed.

WeightoftheWorld · 24/03/2024 09:23

CosyGreyLion · 23/03/2024 21:37

So, I have found my answer to the constant feeling sick… I have bought the sickness bands and they have worked wonders for me. I’m still struggling with feeling bloated and trying to find something to drink that doesn’t leave my mouth tasting awful is proving difficult. I’ve got another scan next Saturday (couldn’t see a heartbeat on the one last Saturday) and I’ve got my booking appointment on the 2nd of April xx

Bit random but all I can really manage to drink is full sugar Capri-Suns! Sugar is terrible but at the moment I just need to get the fluid in, I was dehydrated before and fainted a couple of times as my blood pressure was so low. Now I'm able to drink a bunch of these each day haha. Might be worth a go! In general I do find it is easier to drink anything through a straw though, limits the sicky feeling of the liquid being all over the mouth.

IsLarryFromSomething · 24/03/2024 10:40

I can't drink water at all, it has a terrible taste at the moment. The current things I can enjoy are apple juice boxes, Victorian lemonade, coconut water with a splash of fruit juice, and coffee (decaf or regular).

CreatednLoved · 24/03/2024 10:46

EDD 18 October!

Please create an account

To comment on this thread you need to create a Mumsnet account.

This thread is not accepting new messages.
Swipe left for the next trending thread