Are your children’s vaccines up to date?

Set a reminder

Please or to access all these features

Birth clubs

Connect with mums-to-be with similar due dates to share experiences and support.

The March-ers (2019) #2

999 replies

frankiefumbles · 10/07/2018 23:53

Eek! On thread 2 already...welcome over everyone!

OP posts:
Are your children’s vaccines up to date?
Thread gallery
12
hamandpease · 12/07/2018 09:22

@frankiefumbles huge fingers crossed but if you had a transvaginal scan and it's only a little I think you'll be fine xxx

I def spoke too soon re sickness... happily brushing my teeth this morning then all of a sudden heaving for a full ten minutes was bizarre!!

frankiefumbles · 12/07/2018 09:28

Astounding the Dr has written back:-

"I am sorry to hear this but reassuringly, with the scan findings yesterday most of the time the pregnancy is ok"

In the rest of the email he suggested I get in touch with the GP to have another(!!) reassurance scan or he could do it privately, and he says whilst it will be reassuring, it will show almost the same as I had yesterday. He literally HASNT BATTED AN EYELID. WTF? :O

Mad. Anyway! Moving the conversation swiftly onward in a positive fashion...I've decided to ignore it henceforth and assume he and DH are right.

Good luck @ladycarlotta for your scan today!

I'm wishing I was still in France now because the toast just isn't settling as well as the pain au choc!

OP posts:
Baby160P · 12/07/2018 09:28

Would anyone mind posting their early scan? I had one which was exactly 7 weeks and my friend had previously sent me her 8 week scan and her baby looks much bigger than ours. I have read that babies grown 1mm a day so not too worried but it seems a big difference to me!

frenchgal · 12/07/2018 09:30

@Baby160P oh yes !! Where are you based ?

Baby160P · 12/07/2018 09:30

@frankiefumbles all sounds very positive ❤️

ladycarlotta · 12/07/2018 09:34

@baby160P glad you made it over here! Hi!

I've heard the 1mm a day thing before but I still find it amazing. That's so quick - no wonder we are feeling it!

frenchgal · 12/07/2018 09:37

@baby160P Here is a pic. My baby at 7+1 was just over 1cm

The March-ers (2019) #2
ladycarlotta · 12/07/2018 09:50

@frankiefumbles that's a relief! If you wanted an NHS reassurance scan, the GP would definitely refer you - the process is pretty quick. But if waiting it out feels good to you, do it; it won't make any difference to the outcome.

Baby160P · 12/07/2018 09:59

@ladycarlotta yes! Thank you xx

Baby160P · 12/07/2018 10:01

@frenchgal I am in Essex and you?

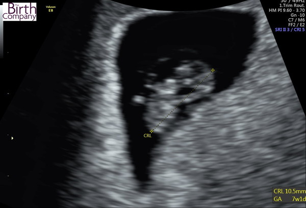
This is mine 7 week exact.

@ladycarlotta I guess if the 1mm thing is true then in makes sense I was 9.77mm and French gal is a day ahead at just over 1cm. Mad!!!!

The March-ers (2019) #2
Bozley47 · 12/07/2018 10:33

My scan last Friday when I was measuring at 5+5 the baby was 3mm. Hoping it’s much larger and has a heartbeat tomorrow x

Murphyrocks · 12/07/2018 10:46

So sorry to hear of your scare @frankiefumbles but the response from doctor sounds positive so fx all is well.

@SuperSharpShooter82 @ladycarlotta @Bozley47 I have a reassurance scan tomorrow too at 11.30 after my GP appointment yesterday but will only be 6+2 so not expecting too much.

SuperSharpShooter82 · 12/07/2018 11:09

All these scans! So exciting! I veer between 'can't wait' and positively 'shitting it' about mine on Sunday!

@FrenchGal and @Baby160p - did you both see heartbeats then on the 7 week scans? I will be 7+2 on Sunday.

@frankiefumbles that sounds really positive. What is the bleeding like now? When I had bleeds in early pregnancy last time the midwife said not to worry unless it was soaking a pad. Mine was also bright red and they never mentioned colour etc. so try not to worry about that. Are you still cramping? Amazing how calm you are being xxxx

frenchgal · 12/07/2018 11:11

@SuperSharpShooter82 strong heartbeat at 144bpm. Such a special moment

Baby160P · 12/07/2018 11:14

@SuperSharpShooter82

Yes I saw the heart beat at 7 weeks exactly.
And I cried!

I'm so anxious and although I've had the reassurance of knowing it's not ectopic and I've seen the little heart beat I'm so worried!

You hear of so many miscarriages which is scary but then I look around at all children I look after and it gives me hope! (I work in childcare)

frenchgal · 12/07/2018 11:14

@Baby160P I am in London.

By the way, i have already booked my next scan and decided to go with a panorama test on 31st July. Results come out in 7-14 days

Until then some travelling in sub Saharan Africa for work which will be challenging as I am so exhausted at the moment !

Baby160P · 12/07/2018 11:15

@frenchgal my private scan didn't measure the heart beat, I did ask but she said they don't do it. I mean it looked fast which is good. It would have been nice to know.

Baby160P · 12/07/2018 11:19

@frenchgal oh not too far away then.
Hopefully the travelling won't be bad.

We went on holiday 2 days after I found out we were pregnant. I am normally fine on planes and just sleep through the trips but I had such bad altitude sickness and was poorly the first day we got there. It then settled and was bad on the flight home and the day we landed again.

Just a pre warning. I hear the travel sickness bands are good the ones you put on your wrist and I sipped water the whole flight!!

SuperSharpShooter82 · 12/07/2018 11:20

What's a panorama test @Frenchgal?

I am in London too! East but verging on Essex Grin

peonylover22 · 12/07/2018 11:48

@SuperSharpShooter82 I think I must live very close to you 👀 Also East London, verging on Essex. We live near a Central Line Station.
The panorama test is a blood test where you can screen for certain genetic conditions. It’s similar to the Harmony test. It’s only available privately. You can also find out the sex of the baby at that point.

Quite envious of all the imminent scans! I really want one but it is too early (I’m only 5+4) so trying to hold out until 7 weeks as I’d rather wait and see something definite (assuming pregnancy is okay) than go to early and be fretting.
Am feeling like I’m way behind everyone else, even though my EDD is only in the middle of the month (10th). I was expecting there to be newbies with BFPs every few days but am wondering whether they might be on the alternative thread instead?!
Good luck to everyone having scans tomorrow.

ladycarlotta · 12/07/2018 11:58

@peonylover22 I don't know if this thread is quite hidden - I never thought to look for an antenatal board when I got my BFP, I just went to the pregnancy one. Maybe we need to lure more people over here. Anyway, in a couple of months the fact you're a week behind some people will be neither here nor there, it's just because we are all so early that every day seems to count.

@MurphyRocks hope the scan goes well and that you get to see something. No offence to anyone but the early scans I've seen are... pretty underwhelming...? so I think I'll just be happy to know the baby's there and in the right place.

SuperSharpShooter82 · 12/07/2018 12:05

Oooo @peonylover me too! I will out myself - I am Woodford.

How much is the Panorama test? I heard Harmony is about £500? And where do you have it done?

Murphyrocks · 12/07/2018 12:05

@ladycarlotta yeah just a sack with a blob in it in the right place is fine with me! A heartbeat would be amazing but still very early so trying not to hope.

Baby160P · 12/07/2018 12:08

@Murphyrocks I was the same. As long as I know it is all in the right place that's all that mattered

ladycarlotta · 12/07/2018 12:20

yep, just sac, blob and bonus heartbeat. If the scan's all in order I will be telling work, as on Saturday I'm on a big work travelling jag for about 10 days. I don't even know when I last had a weekend off. I'm doing fine handling the nausea and tiredness at home, but I don't know how I'll be with constant travelling and no real downtime.

Please create an account

To comment on this thread you need to create a Mumsnet account.

This thread is closed and is no longer accepting replies. Click here to start a new thread.