Meet the Other Phone. Only the apps you allow.

Meet the Other Phone.
Only the apps you allow.

Buy now

Please or to access all these features

Sporner corner

If you want to see spot squeezing, popping or videos showing the removal of blackheads - this is the place for you.

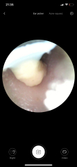
Is My Earwax Normal? (Pic)

18 replies

HilariousUsernameIsTakenFML · 17/09/2022 20:57

This pic is from both ears and I get this amount on a weekly basis. It's always quite wet and my ears feel itchy. My ears sometimes get blocked because of it. This has been going on for a few years... does anyone else get this much wet wax??

(I don’t use cotton buds anymore. I use a Smartbud which is a tiny tiny spoon on a stick and has a tiny camera so you can see inside and make sure you're actually getting stuff, rather than pushing it inwards. Best thing ever.)

Is My Earwax Normal? (Pic)
OP posts:
Cakeandcoffee93 · 17/09/2022 20:58

Nope you need to get the docs that’s not normal and it’s very wet! Sounds like you need a syringing

TheConicalFlask · 17/09/2022 21:09

That looks like an ear infection to me, you might have a staph infection of the skin inside your ear. Your doctor will probably send off a swab and give you a spray antibiotic to use.

ursuslemonade · 17/09/2022 21:23

I would go to the GP with that.
What does your ear look like on the inside? Is it flaky/fungal looking/inflamed?

HilariousUsernameIsTakenFML · 17/09/2022 21:26

I went to my GP a couple of years ago, if I remember rightly he thought it was swimmers ear (I don't go swimming and rarely get water in my ears) and gave me a combo of steroids and antibiotics. It didn't help, but then Covid happened and I still haven't been able to get a follow-up appointment.

@ursuslemonade I'd say they look normal inside right now as I cleaned them earlier, however in the next couple of days they'll go back to being flaky.

OP posts:
Discwriter · 17/09/2022 21:27

That's way too much, looks wet to me. I had it after covid, probably a type of infection.

KitKat1985 · 18/09/2022 13:47

That looks more like pus to me than ear wax? I think you should see a GP.

LadyGardenersQuestionTime · 18/09/2022 13:53

Agree with the above. I do have eczema in my left ear apparently. But it's itchy and dry and flaky, not gooey. Do you have a camera?

LadyGardenersQuestionTime · 18/09/2022 13:56

Doh! ignore my last, I can compare ear infection photos if you want (probably a bit traumatic even here in sporner's corner, happy to PM if you like)

Lurkerlot · 18/09/2022 15:47

LadyGardenersQuestionTime · 18/09/2022 13:53

Agree with the above. I do have eczema in my left ear apparently. But it's itchy and dry and flaky, not gooey. Do you have a camera?

I too get ear eczema, I have a syringe, with 3 reverse facing jets , which when filled with warm water, blows the jet backwards towards external of the ear. Removes enough of the flakey skin without ever having to prod around inside. Very satisfying to use too.

LadyGardenersQuestionTime · 18/09/2022 15:53

Lurkerlot · 18/09/2022 15:47

I too get ear eczema, I have a syringe, with 3 reverse facing jets , which when filled with warm water, blows the jet backwards towards external of the ear. Removes enough of the flakey skin without ever having to prod around inside. Very satisfying to use too.

ooh where did you get that? Sounds mmmmmmm!

Pixiedust1234 · 18/09/2022 16:01

Its eczema. Try asking your pharmacist for eczema cream and use it every night. The wetness is because its weeping. Mine used to be like that and I ended up at ENT weekly to get my swollen ears packed with antibiotics, this went on for months and was more painful than childbirth.

My consultant advised putting cotton wool in my ears every time I had a shower/washed hair as this helped to protect them from making it worse. It really does help.

Lurkerlot · 18/09/2022 16:02

LadyGardenersQuestionTime · 18/09/2022 15:53

ooh where did you get that? Sounds mmmmmmm!

Amazon. Years ago now. Let me see if I can find it in my past orders

Hungrycaterpillarsmummy · 18/09/2022 16:04

Some people have wet wax others have dry wax. I learned that from doing a 23andme DNA thingy.

But either way, it does look a lot and I've never needed a spoon or cotton bud.
It could be that you are removing it so your body is making more and more?

Lurkerlot · 18/09/2022 16:05

LadyGardenersQuestionTime · 18/09/2022 15:53

ooh where did you get that? Sounds mmmmmmm!

Here it is, it works a treat.

www.amazon.co.uk/Medi-Grade-Remover-Syringe-Quad-Stream/dp/B0795WHD42/ref=sr_1_3?crid=22VYBEXNNJIIC&keywords=Ear+jet&qid=1663513458&sprefix=ear+jet%2Caps%2C76&sr=8-3

melchim · 19/09/2022 09:01

Hungrycaterpillarsmummy · 18/09/2022 16:04

Some people have wet wax others have dry wax. I learned that from doing a 23andme DNA thingy.

But either way, it does look a lot and I've never needed a spoon or cotton bud.
It could be that you are removing it so your body is making more and more?

I still don't think that's normal wet earwax. I get both kinds, but the one in the OP looks like an ear infection. Which I also often get!

OP does it smell bad?

pleaseturnmeover · 20/09/2022 20:29

It's eczema. I keep mine under control with small amounts of carefully applied (prescription) steroid cream. Otherwise they are unbearably dry, itchy, gooey, flaky...you name it 🙄

HilariousUsernameIsTakenFML · 21/09/2022 21:46

It's been a few days since my post so it's built up again... which means photos! You have been warned...

People mentioning pus: you're right, I don’t know why it never occurred to me that it could be pus. And no, it doesn't smell.

I was starting to think I just had really wet wax but will try again with the GP, thanks all

Is My Earwax Normal? (Pic)
Is My Earwax Normal? (Pic)
Is My Earwax Normal? (Pic)
OP posts:
Hungrycaterpillarsmummy · 21/09/2022 21:54

Jesus Christ. it's amazing but horrific. Crazy!

Yeh seems like the other posters know it's eczema so you should go to you GP.

New posts on this thread. Refresh page