Meet the Other Phone. A phone that grows with your child.

Meet the Other Phone.
A phone that grows with your child.

Buy now

Please or to access all these features

Sporner corner

If you want to see spot squeezing, popping or videos showing the removal of blackheads - this is the place for you.

Help spornererers- ear wax!

26 replies

MarieBaroneIsMyMom · 18/07/2022 16:36

Relevant info- I’m not in the UK and so don’t have the options of Specsavers or a high street chemist to do wax removal/micro suction etc.

My GP doesn’t offer this service either.

My right ear is completely blocked. I used one of those little endoscopes to have a look with a camera and can see a very big blockage- it’s definitely wax. The endoscope comes with a little set of tools but I’m worried about pushing the wax even further in.

Any surefire home remedies? Will olive oil twice a day for a few days really shift it?

OP posts:
JudyGemstone · 18/07/2022 16:53

I use olive oil to soften and then I get a pipette/dropper from a bottle of serum etc, clean it, and then use it for suction to remove the wax.

I got water in my ears last week and went deaf in one, doing this completely sorted it out, was so satisfying!

it does need to be be soft though

SweetestThing · 18/07/2022 16:55

You need to soften the wax and then see if your ear expels it naturally. Sodium bicarbonate eardrops are best for this. Please don't poke about in it - if it doesn't expel naturally, then microsuction is best. Hope this helps.

Ponderingwindow · 18/07/2022 16:59

Well first thing, if you have a camera endoscope, you need to take a picture and show us. This is sporner corner law.

olive oil will soften it. I personally prefer the drops you can buy where I live that are carbamide peroxide.

JellyBellyNelly · 18/07/2022 16:59

Olive oil for a week then put some tepid water into a jug then slowly pour it 8s to your ear. The wax will just float out into whatever container your using to catch it.

Hotenoughtoburnasausage · 18/07/2022 17:03

When I dyed dd's hair last week I accidentally showered into her ear. What came out was truly splendid...

SheWoreYellow · 18/07/2022 17:07

Otex drops worked for us on my son where olive oil had failed.

But on his second ear he was able to just scoop it out with the tools (we also got a camera thingy).

MarieBaroneIsMyMom · 18/07/2022 18:23

Thanks everyone.

@Ponderingwindow , even for sporner corner, those pics might be a big much. It was pretty nasty.

Went to the chemist and Otex drops aren’t available here but he gave me urea hydrogen peroxide drops which apparently have the same ingredients so fingers crossed this shifts it.

OP posts:
SaintHelena · 18/07/2022 19:16

Lie down with your ear on a hot water bottle ,with padding, or one of th microwaveable barley bags should heat and soften it

LadyGardenersQuestionTime · 18/07/2022 19:24

"even for sporner corner, those pics might be a big much. It was pretty nasty"

We've seen worse, believe me

Or I could post the photos of my ear infection. 🤢

heldinadream · 18/07/2022 19:27

LadyGardenersQuestionTime · 18/07/2022 19:24

"even for sporner corner, those pics might be a big much. It was pretty nasty"

We've seen worse, believe me

Or I could post the photos of my ear infection. 🤢

oooooo I'm having microsuction for the first time tomorrow, the first few seconds of that have me excited and horrified at the same time...

MarieBaroneIsMyMom · 18/07/2022 19:44

My ear doesn’t look dissimilar to the start of that video, @LadyGardenersQuestionTime 😬I just don’t think the wax goes in that deep.

It’s much sorer since I used the endoscope. I know, I know sticking something in an ear is always a bad decision. The wax is completely covering my ear drum- I had thought that I’d have been able to kind of get some traction and flick it out with the little spoony thing at the end of the scope, but I seem to have just pushed it further in.

I’m tempted to try using a dropper from a serum bottle to try and suction some out.

OP posts:
JellyBellyNelly · 18/07/2022 20:13

You could use a large straw and ask the person on the other end of it to inhale.

MarieBaroneIsMyMom · 18/07/2022 21:03

Ok so.

Warning- the next post contains a pretty disgusting photo of my ear wax. If you’ve navigated here from the Active Topics list, you may not be aware of what board you’re on, and might like to back out slowly.

OP posts:
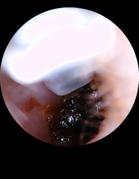
MarieBaroneIsMyMom · 18/07/2022 21:04

Quite impressive

Help spornererers- ear wax!
OP posts:
memyselfi · 18/07/2022 21:05

It's got a wee face Grin

BigBadBoom · 18/07/2022 21:06

Am so invested. Can just hear out of my left ear for the first time in four days today. Bastard wax. Actually emailed a microsuction place today for the first time.

NighghtmareNeighbour · 18/07/2022 21:06

As a previous poster suggested carbomide peroxide drops will soften this best. Good luck.

CourtneeLuv · 18/07/2022 21:09

You need to come to my house with your little camera and let me get that out for you 😂

EntertainingandFactual · 18/07/2022 21:17

LadyGardenersQuestionTime · 18/07/2022 19:24

"even for sporner corner, those pics might be a big much. It was pretty nasty"

We've seen worse, believe me

Or I could post the photos of my ear infection. 🤢

Oh wow! That is amazing!!

JamMakingWannaBe · 18/07/2022 21:17

I've recommended this on here before: ear irrigator from Amazon. £5. I went from near deafness to hearing ants farting in the garden.

MarieBaroneIsMyMom · 18/07/2022 21:19

memyselfi · 18/07/2022 21:05

It's got a wee face Grin

Great, now I can’t unsee the devil skull face living in my ear.

OP posts:
Ponderingwindow · 19/07/2022 15:49

Oh that is gorgeous.

can you tell how far it is from the ear drum? In the pick it looks kind of forward and that scoop is right there. I don’t know how you are resisting.

I wouldn’t go anywhere near the ear drum, but if it is in the middle, I would give it I try personally.

Ponderingwindow · 19/07/2022 15:51

saw that Rhys video yesterday. Some days you just have to be thankful for the invention of the internet.

MarieBaroneIsMyMom · 19/07/2022 18:32

Ponderingwindow · 19/07/2022 15:49

Oh that is gorgeous.

can you tell how far it is from the ear drum? In the pick it looks kind of forward and that scoop is right there. I don’t know how you are resisting.

I wouldn’t go anywhere near the ear drum, but if it is in the middle, I would give it I try personally.

It’s right on the ear drum, I’m even having trouble getting the scope in that far.

Not sure if I can explain this correctly but that pink area on the left isn’t the eardrum, it’s just the ear canal- the entire drum is blocked from view.

OP posts:
Ponderingwindow · 19/07/2022 20:06

Yeah, if it’s on the ear drum you can’t scoop.