Are your children’s vaccines up to date?

Set a reminder

Please or to access all these features

Pregnancy

Talk about every stage of pregnancy, from early symptoms to preparing for birth.

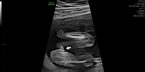
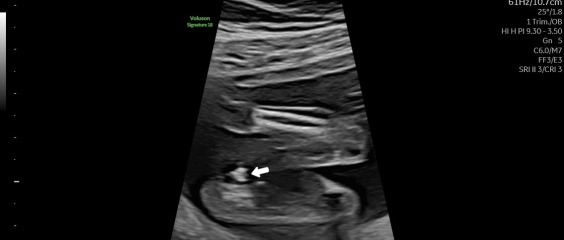
Unsure about gender scan result after conflicting opinions on the images

4 replies

ByLimeBiscuit · Today 10:38

So we had our gender scan today at 16+3 and the potty shot isn’t as clear as my first child so curiosity had me put it into chat gpt and both pictures said the opposite gender🥲 so can I get some opinions please😂

Unsure about gender scan result after conflicting opinions on the images
Unsure about gender scan result after conflicting opinions on the images
OP posts:
Are your children’s vaccines up to date?
MatriarchCaz · Today 11:06

Looks like a girl to me x

BinBagDress · Today 11:11

I would say girl, congratulations

Iloveeverycat · Today 15:26

You will have the routine scan at 20 weeks. They can confirm it.

Rainbowsandsunshine72 · Today 15:51

Girl!!

New posts on this thread. Refresh page
Swipe left for the next trending thread