Are your children’s vaccines up to date?

Set a reminder

Please or to access all these features

Pregnancy

Talk about every stage of pregnancy, from early symptoms to preparing for birth.

5 week 1 day scan

8 replies

chelseadee84 · 11/09/2024 21:19

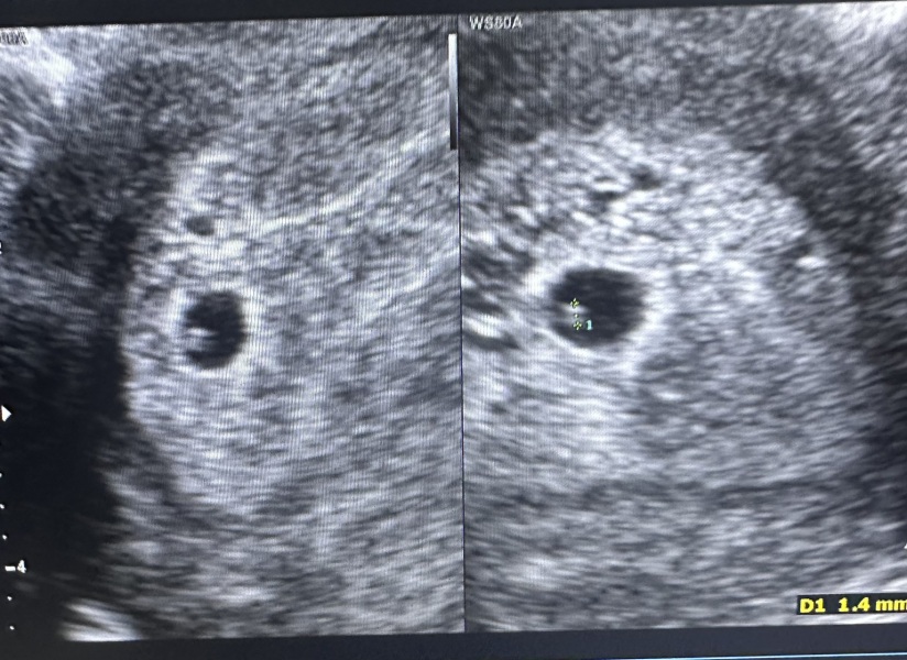
Hi guys, I'm looking for opinions and I guess reassurance.

I'm 40yrs old, never been pregnant, me and my fiancée have been trying for 9 months and finally fell pregnant naturally this month. I wanted an early scan for reassurance that I am pregnant.

The doctor was lovely, he said I was 5weeks 1 day pregnant and that he wouldn't hear a heartbeat as I'm too early and need to come back in 2 weeks, he confirmed I was pregnant and I came out feeling relieved and happy.

Then I got home and started to read my report and it's says " no clear yoke sac or FT " tbh I didn't even know what that was, I started googling and tik tok and I'm now in sheer panic because I'm reading I should have a yolk sac at this point in my pregnancy and this could be a sign of a void pregnancy. I can't stop crying.

When I look at other images with no yolk sac I don't see anything in them but I'm sure mine has one, he never commented on the little circle inside the sac.

Please has anyone had this or experience a similar situation? I'm so desperate for some answer.

Thank you

( rewritten thread as last one was deleted due to me posting personal details on picture)

5 week 1 day scan
OP posts:
Are your children’s vaccines up to date?
narns · 11/09/2024 21:22

Don't panic! That's so early to be having a scan! He didn't say there definitely wasn't one, just that it wasn't "clear". He's clearly taken note of what you're referring to as he's measured it! I had a scan at 5+4 in a previous pregnancy to check placement (after a previous ectopic) and saw a yolk sac but no fetal pole. They said that days make a huge difference in terms of what can be seen when you're so early on. Chances are you'll go back in a week and see much more! X

chelseadee84 · 11/09/2024 22:23

Thanks for the reply, my fiancée said the same thing regarding the " clear" remark. I'm
Trying to relax but it's so hard, when this is all I have ever wanted! X

OP posts:
sel2223 · 12/09/2024 01:36

Hi OP, congratulations. I'm 41 and coming up to 12 weeks.

5 weeks is extremely early to have a scan - most places won't even do one this early except if there is a fear it could be ectopic as there is literally nothing to see but either an empty gestational sac or, at most, a tiny blob.

The rest should appear soon - the yolk sac is normally around 6 weeks, then the fetal pole. It can be up to 7 weeks before you see an embryo and heartbeat.

The best time for an early scan is 8 weeks+ as the image will be clearer with more to see. Plus the odds of miscarriage after seeing a heartbeat at 8 weeks drops considerably!

If this was a private scan then shame on them for taking your money and not putting you back by at least a week.

GreenTemple · 12/09/2024 07:11

You just need to give it some time, I am astonished they would scan you at 5w1d! Go back when you’re seven weeks 😊

Btowngirl · 12/09/2024 17:06

To reassure you, after our first round of fertility we got a confirmation scan and the sonographer said ‘either the pregnancy isn’t viable or it’s too soon’ and we now have an almost 3 year old. They advise 7 weeks plus I believe to be able to truly confirm, it’s a long wait when you are worried but all is not lost at this early stage! Good luck & come and update us :)

Monkeysatonthewall · 12/09/2024 17:08

It's way too early for a scan.
Personally, I wouldn't be getting any scans for <7 weeks, it just puts so much unnecessary stress on you.

GunesM · 12/09/2024 17:42

As everyone wlse has mentioned its way too early to assume thing's aren't developing as they should be. Also the scan photo does seem to show something in the sac i dont think many even get that so early. Try to relax

yorkiel · 12/09/2024 18:04

Congratulations! As others have said it's so so early for a scan and usually I don't think they like to scan you until 6 weeks at least as there's not much to see. In my pregnancy I went for a scan at 5 weeks just to rule out ectopic and they invited me back in 2 weeks to make sure everything was progressing as there's just not much to see at that point. Try not to panic!

New posts on this thread. Refresh page
Swipe left for the next trending thread