Are your children’s vaccines up to date?

Set a reminder

Please or to access all these features

Pregnancy

Talk about every stage of pregnancy, from early symptoms to preparing for birth.

Do you know if this scan is a boy or girl? Gender scan 15 weeks

15 replies

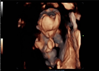
Ccnic · 25/09/2022 15:19

Hey, I had a gender scan at 15 weeks and I’m unsure if they got the gender correct as he said one gender first then swapped and said no it’s another gender so now I’m not certain, what do you guys think? just wondering if anyone has had a similar looking scan with either a boy or girl

OP posts:
Are your children’s vaccines up to date?
Cather1ne · 25/09/2022 15:23

Looks like a girl

Ccnic · 25/09/2022 16:24

Thank you for having a look 😊

OP posts:
Starsinthesky22 · 25/09/2022 18:35

Yeah I’d say girl too on the basis that it doesn’t look like the photo I had with my son!! I’m interested in what the sonographer said it is?

Ccnic · 25/09/2022 18:57

Thank you for commenting, He originally said girl but then he said he wasn’t convinced and carried on looking and finally went with boy in the end but i already have a boy and they were 100% certain with him being a boy so makes me question it😄

OP posts:
Starsinthesky22 · 25/09/2022 19:04

No that doesn't sound too conclusive and fill you with confidence! Maybe ask at your 20 week scan. I think 15 weeks is a little too early to be sure!

GreenIsle · 25/09/2022 19:09

Too tricky to tell. With a girl you can identify 3 lines straight but yours has two lines but going sideways instead.

pistachioplum · 25/09/2022 19:56

Any guesses for me? This is my scan at 13 weeks and I’m bit baffled by nub theory!

Do you know if this scan is a boy or girl? Gender scan 15 weeks
Bellesjp · 25/09/2022 22:04

Hmm difficult one, I'm having a girl and you can def see nothing between the legs lol. I can see something there but hard to tell as doesn't look def boy either! I would wait a few weeks and maybe have another scan to check if you can!
My sonographer took a while having a look at 16 weeks as baby wasn't in best position to see so I wasn't totally convinced either, could def tell she's a she at 20 week scan though :)

Jurassiclover · 25/09/2022 22:21

Doesn't look like my DS's scan but then 15 weeks is a bit early, all clinics around me need you to be at least 16 weeks

LunaLoveLemon · 25/09/2022 22:27

15 weeks is really early. I feel like these private scan companies are really unethical sometimes. They’ll take your money knowing it’s at best an educated guess so early on. I have sadly delivered babies at much later gestations than this and it’s been hard to determine the sex in the flesh, let alone on a low quality scan picture.

Lessofallthisunpleasantness · 25/09/2022 22:28

Boy.

Ccnic · 26/09/2022 07:33

Thank you guys

OP posts:
allthingssparkly · 27/09/2022 07:38

Can anyone take a guess at mine? 16w5d 😊

Do you know if this scan is a boy or girl? Gender scan 15 weeks
Aprilbab · 11/12/2022 20:00

Any guesses for me? 3D I thought boy but potty shot I think girl 😫

Do you know if this scan is a boy or girl? Gender scan 15 weeks
Do you know if this scan is a boy or girl? Gender scan 15 weeks
Sh1993 · 31/07/2024 17:00

Ccnic · 25/09/2022 15:19

Hey, I had a gender scan at 15 weeks and I’m unsure if they got the gender correct as he said one gender first then swapped and said no it’s another gender so now I’m not certain, what do you guys think? just wondering if anyone has had a similar looking scan with either a boy or girl

Hi OP! Realise this was a while ago but what did your baby’s gender end up being?? Thanks!! ☺️

New posts on this thread. Refresh page
Swipe left for the next trending thread