Help end medical misogyny. Sign our petition.

Help end medical misogyny.
Sign our petition.

Sign the petition

Please or to access all these features

Pregnancy

Talk about every stage of pregnancy, from early symptoms to preparing for birth.

8 Week Scan Experiences please

20 replies

irishgem92 · 08/06/2022 20:16

I've got a scan booked for the weekend when I'll be 8+3 weeks pregnant but not sure what to expect!

My midwife said early scans can cause anxiety because baby could measure smaller than expected if you've got your dates wrong.... I know my exact conception date no questions asked 😅 but is there still a chance I could have my dates wrong with regards to implantation time etc?

Also what can I expect to see with regards to a heartbeat?

I'm so excited and nervous at the same time! Xx

OP posts:
Are your children’s vaccines up to date?
Jaaxe · 08/06/2022 20:23

If you are 100% on ur conception date then the difference in days will only be a matter of a day or so either side depending when you ovulated and how long it took for the egg to implant in your uterus so your scan should show an 8 week (+ or - a few days) foetus with a heartbeat. Hope all goes well for u x

HSKAT · 08/06/2022 20:24

My IVF clinic does them from 7 weeks, no earlier.
So at 8+3 you'll be fine, even if you measure couple days earlier you should still see baby and HB.

AnchoredNomad · 08/06/2022 20:36

Don’t worry if it doesn’t measure as expected, my 12 week scan EDD was 10 days different from the 8 week (and my own calculations were somewhere In the middle)
Good luck!

KayK2021 · 08/06/2022 20:38

I had an 8 week scan today and I knew my dates exact too. If fact I measure 8+1 today and they were able to see a heartbeat. They told me I may need a transvaginal scan as it was an early scan but I didn't need to.

WalkerWalking · 08/06/2022 20:45

I was warned they might need to do a transvaginal scan, but they were always able to do it externally from 7 weeks. By 8 weeks you should be able to see the "heartbeat", but be aware that this just means one flickering pixel in the screen!

There are some variables still even if you know you only had sex once in the month. Don't be surprised if the dates are up to 5-7 days different from what you were expecting (a few days from delays in ovulation/implantation, and possibly a few more days from inaccurate measurements)

The official dating scan at 12-13 weeks will be more accurate (although FWIW my own dates were always turned out to be more accurate than anything the scans told me 🤷‍♀️)

PinkButtercups · 08/06/2022 20:50

I had a scan and they dated me at 8+6. You can usually see a heart beat by now.

I saw both my little babies heartbeats flickering away 🥰

irishgem92 · 08/06/2022 22:45

Thanks everyone 🥰

I'm really hoping this scan will show me a little beating flicker to put my mind at ease 🥹 I've had some brown spotting on wiping and cramps this week which lots of people are telling me is normal but I can't help but worry!!

OP posts:
Sarah13xx · 08/06/2022 22:48

8 weeks your probably okay, I went at 7 weeks and I think the most crucial thing everyone wants to see is a heartbeat so at 8 weeks you’re probably safe enough. Have heard of lots of people at 6/7 weeks having to go back for a second scan after there being no heartbeat and it’s there the second time

Jaaxe · 09/06/2022 07:06

dont worry too much about the brown discharge, I had brown discharge too at 6/7 weeks and a scan which showed all fine and a heartbeat and now 10.5weeks and nothing since, guessing I’m still pregnant as have symptoms and look a bit chubbier, not paying for a private scan so just waiting till the 12 week scan now to check all is ok. I’m sure your scan will be great! x

JenniferR2021 · 09/06/2022 07:23

I had a scan on Sunday was 8weeks and 2 days seen the heart beat

HSKAT · 09/06/2022 07:46

I also had brown spotting op, it lasted a week but everything turned out fine!
Currently having breakfast with him Smile

PointyMcguire · 10/06/2022 13:54

We had our early scan yesterday at what we thought was 8+3 but has since measured at 8+5.

Mine was transvaginal, we saw their flickering heartbeat and even got to see them moving about, it looked like they were waving their little paddle at us! I’ve been super anxious as we had an early miscarriage in January so seeing them on the monitor has definitely helped calm me down and make it feel more real.

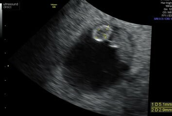
Purplefoxes · 11/06/2022 07:58

Hope your scan went well OP? This was mine yesterday 8+2, ended up as a transvaginal scan due to gas! It shows the baby (fuzzy gummy bear shape) and the yoke sack circular thing-I asked them to take measurements of the yoke sac because it can be a good indicator of prognosis. Can't seem to upload the video but as others said could see a flickering heartbeat. ❤️

8 Week Scan Experiences please
8 Week Scan Experiences please
irishgem92 · 11/06/2022 17:29

Thanks everyone for your kind responses 💕

My scan is tomorrow morning so I will let you know how it goes!

Aww @Purplefoxes how amazing is that 😍 what a beautiful little jelly bean! Xxx

OP posts:
irishgem92 · 11/06/2022 17:30

Just noticed it on your photo but my scan is with ultrasound direct too! @Purplefoxes xx

OP posts:
Caass45 · 11/06/2022 18:17

We had a scan at what we thought was about 8 weeks we measured a few says behind. When we went for our 12 week scan we measured a week behind. Our little one arrived on the estimated due date given at the 8 week scan she's now 11 weeks I love looking back at the early scan. We even got a few videos of the heartbeat. I was surprised that bubs did look like a wee peanut though.

8 Week Scan Experiences please
Purplefoxes · 12/06/2022 07:25

irishgem92 · 11/06/2022 17:30

Just noticed it on your photo but my scan is with ultrasound direct too! @Purplefoxes xx

Yes they were really good, spent a long time answering my questions and checking everything out. It was such a different experience from an NHS scan, I totally understand that they have to get people in and out quick to see so many but it was nice to have that time to discuss my concerns and not feel like cattle! And a massive screen for us both to be able to see! Hope it goes well x

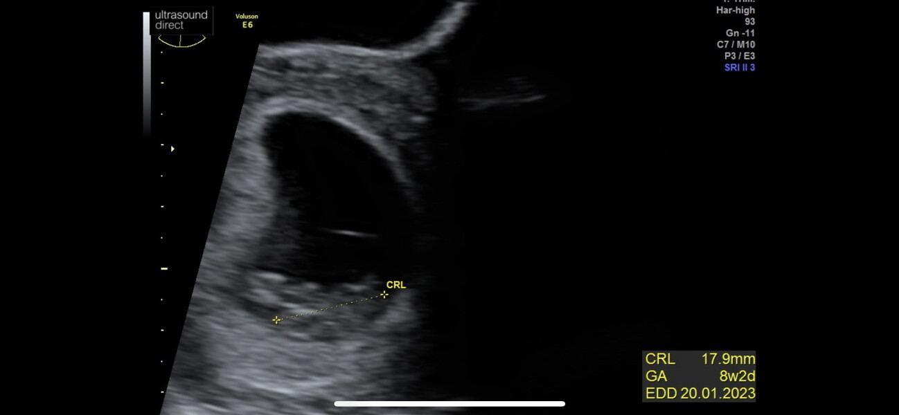
irishgem92 · 12/06/2022 16:28

Good afternoon ladies 💕

Had my scan this morning, my little blob looked great 🥹 blob is measuring at 8+2 and a teeny 17.9mm long with a flicker of a heart beat ❤️

Thanks again for everyone's kind messages 🥰

8 Week Scan Experiences please
OP posts:
Jaaxe · 12/06/2022 18:34

Aw lovely news! Glad it all went well 🥰 congratulations x

Purplefoxes · 12/06/2022 21:35

irishgem92 · 12/06/2022 16:28

Good afternoon ladies 💕

Had my scan this morning, my little blob looked great 🥹 blob is measuring at 8+2 and a teeny 17.9mm long with a flicker of a heart beat ❤️

Thanks again for everyone's kind messages 🥰

Congratulations that's amazing news!! Xx

New posts on this thread. Refresh page