Are your children’s vaccines up to date?

Set a reminder

Please or to access all these features

Pregnancy

Talk about every stage of pregnancy, from early symptoms to preparing for birth.

14 week gender scan

14 replies

cae123 · 07/11/2021 07:32

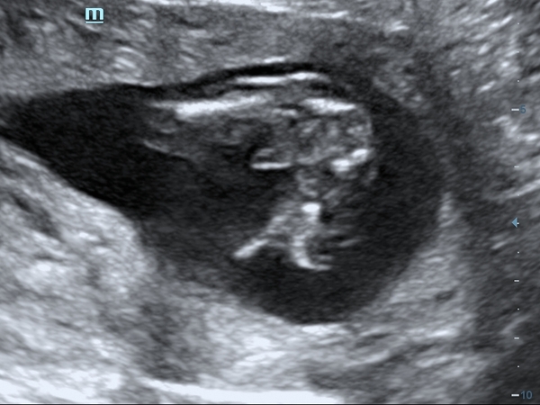
Hello, this is my first post. I'm currently 17+5 weeks pregnant, I had an early gender scan at 14 weeks, the lady turned the tv off to concentrate when checking what gender my baby was? She then passed me a card that said boy and this picture attached. Why does everyone make of this picture? I've looked and looked and I just can't see it. I have a four year old little boy and looked nothing like this when I had his gender scan. I understand it's still very early to check the gender and also that it will look different at 14 week, but When I zoom in I can see something else and not what a boy would have, im waiting for the 20 week scan to buy anything. Also this pregnancy is so different to my sons, with my son my hair and skin were amazing, I've never suffered with acne or spots, and this pregnancy my hair is snapping off, it's so brittle, my face is so sore and covered in painful lumps and the morning sickness was something else😩 thank you

  • * [edit by MNHQ - moved to Pregnancy board] * *
14 week gender scan
OP posts:
Are your children’s vaccines up to date?
Forgotthebins · 07/11/2021 07:40

Hi OP, congratulations on your pregnancy! I think that you landed on the wrong thread though, and need to ask Mumsnet admin to move your post to pregnancy chat. This is actually a politics forum, I know it is quite confusing! Mumsnet changed the name of this area from Feminism quite recently and unsurprisingly this leads to confusion. I hope the rest of your pregnancy goes wonderfully. Flowers

334bu · 07/11/2021 07:41

I think you are on the wrong board. Maybe report and ask to be transferred to Pregnancy board.
Congratulations on your pregnancy and hope some of the more difficult symptoms get easier.Flowers

endofagain · 07/11/2021 07:43

Hi OP. You need to report your post to MN and ask them to move it to the pregnancy board.
Congratulations.

ThirdElephant · 07/11/2021 07:47

No idea, OP. Can't make head nor tail of it. I'm surprised they even let you do a sexing scan at 14 weeks- I thought 16 weeks was the earliest and even then they can be unreliable.

Definitely wait until the 20 week scan.

cae123 · 07/11/2021 08:02

Thanks everyone, didn't realise it was the wrong one, I'll ask them to move it over now thank you all x

OP posts:
BelieveInRainbows · 07/11/2021 09:02

Surprised anyone gave you this scan at 14 weeks. 16 weeks is usually the earliest. It definitely looks like a boy to me though, I don't see the 3 lines for a girl. But I would agree that waiting until 20 weeks would be best, or even having another gender scan elsewhere if you can afford it as the NHS sonographer won't always be able to tell you.

This is my 3rd boy at 15+6 and looks pretty similar to yours, if only a bit more obvious. Boys are usually pretty unmistakable Grin Congratulations either way!

14 week gender scan
cae123 · 07/11/2021 09:41

I always thought it was 16 weeks, but when I was looking a lot are now doing them from 14 weeks. Wish I had waited, thank you and congratulations

OP posts:
Kittyswhiskers · 07/11/2021 10:24

I had a really experienced sonographer scan me around 13 weeks and she was pretty sure it was a girl. She said if you know what you’re looking for it’s pretty obvious. I did go back at 16 weeks (and had a 4d scan at 30 weeks) and she is indeed a girl. I think you are seeing early boy parts. I’ll try and find my pic from early on to show you. Congratulations!

cae123 · 07/11/2021 11:46

It was her turning the tv off that made me think something was wrong, she didn't turn it back on either. Didn't let me look, then wrote on the sheet she's 85% sure it's a boy, obviously still quite high but still room for it to change, just wanted to see if anyone had a scan that looked like this, I couldn't make sense of it at all x

OP posts:
Tina8800 · 07/11/2021 17:10

Definitely a boy! Here is my little girl scan attached at 16 weeks so you can compare.
It really depends on the babys position at the time, sometimes they can tell as early as 12 weeks.

14 week gender scan
TakeYourFinalPosition · 07/11/2021 17:15

All pregnancies are different - my friend has had four absolutely different ones, and has four boys. It’s no way to tell gender… it’s an old wives tale; like guessing from cravings or bump position or heartbeat. Fun, but there’s no science to it.

Your photo does look like a boy, and it can be clear at 14 weeks - as it seems to be in your case. Some can be less clear, babies positioning really matters. It’s early; but I’d be fairly confident in that result… it’s fairly common for sonographers at private scans to turn off the screen and write the result down for you, too.

But I’m sorry if you’re disappointed Flowers

cae123 · 07/11/2021 20:01

I'm absolutely over the moon, thank you both for your reply's. I'm happy for either gender, was just to impatient and wanted to start buying already haha, saying that I already have a boys name picked out but nothing for a girl, and my little boy is excited to have a baby brother x

OP posts:
babyk2023 · 17/06/2023 12:00

@cae123 Did you end up having a boy OP?x

cae123 · 17/06/2023 23:30

@babyk2023 I did, he’s now a hypo one year old 🤣 so strange how both my pregnancies were so different yet same baby. I know for a third I won’t look an old wives takes again lol xx

OP posts:
New posts on this thread. Refresh page