Are your children’s vaccines up to date?

Set a reminder

Please or to access all these features

Parenting

For free parenting resources please check out the Early Years Alliance's Family Corner.

Worried about childs tooth- picture included

22 replies

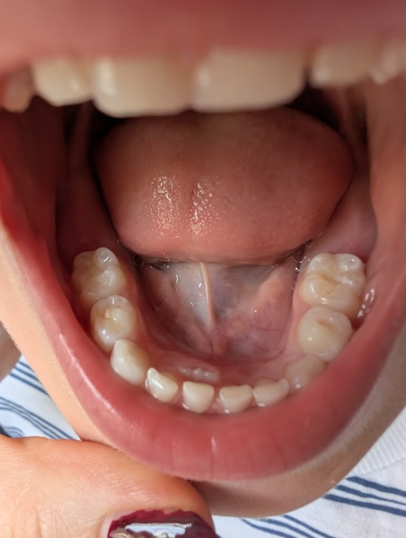
Samanthajamesjones · 26/07/2025 14:30

DS is 6 and has had a wobbly tooth for weeks, just checked his mouth and it looks like his big tooth is coming in behind his baby tooth, is this normal? Im worried as it's in behind not where its supposed to be

Worried about childs tooth- picture included
OP posts:
Are your children’s vaccines up to date?
Gettingbysomehow · 26/07/2025 14:32

No idea you need to ask a dentist and get an xray done. My son grew a third set.

Marmite27 · 26/07/2025 14:34

it’s very normal, it will move forwards and push his baby tooth out. There’s lots of jiggling about done in primary school mouths!

U53rn8m3ch8ng3 · 26/07/2025 14:34

This literally just happened to my 5 year old. Front teeth were wobbly but teeth came in behind them. Wobbly teeth have now fallen out and the big ones have started to move into place.

Interested in this thread?

Then you might like threads about these subjects:

TenderChicken · 26/07/2025 14:35

Yes my kids' incoming teeth are positioned behind.

U53rn8m3ch8ng3 · 26/07/2025 14:35

Gettingbysomehow · 26/07/2025 14:32

No idea you need to ask a dentist and get an xray done. My son grew a third set.

Seems dramatic considering teeth are moving around so much at this young age

Marmite27 · 26/07/2025 14:35

His gums at the back are very bulgy too, it’ll probably not be long before that molar is peeking out of the gums Smile

Christwosheds · 26/07/2025 14:36

Yes it’s normal, the big tooth will move forward into the space when the baby tooth falls.

MigGril · 26/07/2025 14:36

It's quite common a lot of DD's teeth came through like this.

I would note that he should be having regular dental checkups by now anyway so you could always ask at his next appointment. (I know not everyone has easy access to a dentist).

Samanthajamesjones · 26/07/2025 14:38

Thanks everyone, he was seen by the dentist a few months ago before anything had come up, feel a sense of relief seeing these messages, thank you!

OP posts:
usedtobeaylis · 26/07/2025 14:39

It's normal. If other teeth grow in the same way and none of the baby teeth fall out you would need to see a dentist but until that point it's totally normal.

CatsorDogsrule · 26/07/2025 14:39

One of my children had this too. He's 15 now and our recent dentist was surprised he hadn't had braces as his adult tooth alignment is perfect. (If only my alignment was!)

Cocktailsandcheese · 26/07/2025 14:43

This happened to my 6 year old. Once the wobbly tooth had fallen out the new one moved forward surprisingly quickly and is now in exactly the right place.

TheyFuckYouUpYourMamAndDad · 26/07/2025 14:48

Of course this is normal…no need to see a dentist or get x-rays, as a PP has suggested! Pretty much all of my children’s second set came in like this.

Iloveyoubut · 26/07/2025 14:54

Yes it’s normal… happened with my son. I just have to say… that’s adorable! Little open mouth letting you take a picture of his teeth… it takes me back to when my now 21 year old was that age … aw, you touched my heart today. ❤️🦷

lizzyBennet08 · 26/07/2025 18:37

Very normal. Called shark teeth. It usually sorts itself out

Betty197 · 26/07/2025 18:47

My daughter had this. Secondary tooth over half way up before baby tooth came out. Dentist said it would find its place and it did within days

DarkLion · 26/07/2025 18:49

I had this as a child too! My milk tooth was pushed forward but didn’t fall out so I had to have the milk one extracted at the dentist

mildlysweaty · 26/07/2025 18:50

It’s called shark teeth it’s totally normal! My child had both front bottom teeth come up at the same time

AlligatorTears · 26/07/2025 18:57

Yes it’s normal. It’ll move forward when the baby tooth it out.

whatisbesttodo · 26/07/2025 18:58

No problem at all, perfectly normal. Kids enjoy their ‘shark teeth’ as they come through.

julesagain · 26/07/2025 19:24

My youngest gad these. Shark teeth as we called them, although the top on came down in the of the first teeth. She did end up with braces. But not because if this.

MoreThanOverwhelmed · 26/07/2025 19:24

My DC2 has one coming through like this & I was worried too OP, so thank you for posting. 😘

New posts on this thread. Refresh page
Swipe left for the next trending thread