Please or to access all these features

Miscarriage/pregnancy loss

Find support and share your experiences on our Miscarriage forum. See also legal rights and support after baby loss.

Miscarriage, unknown gestation *photo*

2 replies

FL97 · 25/05/2024 00:00

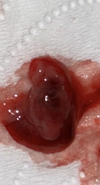
Hi, I wondered if anyone could advise what gestation I might have been prior to miscarrying?
I had a private scan to try and get an idea of dates as my cycle is allover the place and the pregnancy came as a surprise.
This scan said I was 5 weeks 0 days. Unfortunately I miscarried before the early pregnancy unit ultrasound so I never had actual confirmation of gestation.
When I passed the tissue, you could see an eye, shape of the head and a curved shape leading from the head and down the spine I suppose. There appeared to be a round mid section. I would say it was bigger than a bean, smaller than a grape. Online NHS photos of a typical 5 and 6 week embryo/foetus look less developed than what I passed, more like 7 weeks but I just wish I knew how far I was when I miscarried.
Thank you.

Sensitive content
Miscarriage, unknown gestation *photo*
OP posts:
DreamCatchingSpiders · 25/05/2024 00:32

I'm not sure, but I wanted to answer you. I'm sorry that you've had a miscarriage, sending you love and strength.

nearly8 · 28/05/2024 07:32

It's hard to say @FL97 I'd use the private scan as your base rate as you don't have much else to go on. I'm sorry you've had a MC Hun it really is a rough time. Look after yourself 💐 💐

New posts on this thread. Refresh page