Meet the Other Phone. Protection built in.

Meet the Other Phone.
Protection built in.

Buy now

Please or to access all these features

Conception

When's the best time to get pregnant? Use our interactive ovulation calculator to work out when you're most fertile and most likely to conceive.

Twin or bleed?

2 replies

Sonnyelodie88 · 27/02/2026 11:50

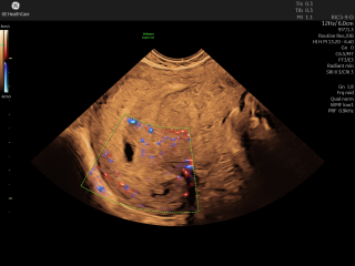
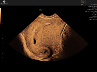
Have had an early scan, first midwife said twins, second said only a bleed is possible - confused - see scan photo. thoughts anyone??

Twin or bleed?
Twin or bleed?
OP posts:
Miraclemuma03 · 28/02/2026 12:49

How far along were you when you had the scan. Its definitely too early to really have an opinion. If they are sacs there is nothing in them at this stage that I can see and the bottom dark spot could be part of a bleed. The only way your going to know is to go back for a scan a little later on, say closer to 8 weeks gestation.

ToKittyornottoKitty · 28/02/2026 14:21

It looks like it’s just too early to say. How far along do you think you are?

New posts on this thread. Refresh page
Swipe left for the next trending thread