Meet the Other Phone. Flexible and made to last.

Meet the Other Phone.
Flexible and made to last.

Buy now

Please or to access all these features

Conception

When's the best time to get pregnant? Use our interactive ovulation calculator to work out when you're most fertile and most likely to conceive.

Has anyone been in my position?

2 replies

booJo24902 · 03/03/2025 16:42

Hiya I wondered if I could get some reassurance.
Lmp-19/01/25
Today I should be 6 weeks + 1
(I think I'm more 5)
Had my first very faint positive on 17th feb went to epu on 24th where they scanned me and saw nothing because my levels were only 63 and Sunday my levels were 167. So epu called and said they will see me on 12th March.
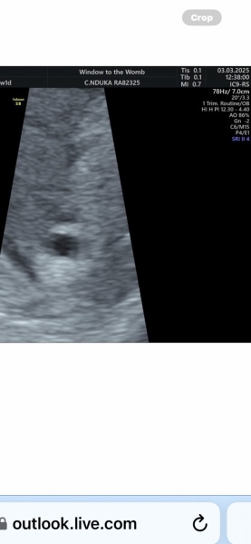
I went for an early scan today and the guy who scanned me said they can't see a sac just haemorrhage in my womb. I thought they saw a sac but he said ' I wouldn't call it a sac at this stage'
I will post what he said and the scan pic.
Just wondering if anyone has been in same position & been ok? X

Has anyone been in my position?
Has anyone been in my position?
Has anyone been in my position?
OP posts:
LaTable · 03/03/2025 18:12

Hi, not really had this experience but didn't want to run.
When I had a scan at about 4+5 my scan looked exactly like this.
It then grew (unfortunately ended up being a mmc due to a sch right at the placenta)
I think the best you can do it do as welcome to the womb have suggested and go to an epu to see if it progresses. Fingers crossed for you op

booJo24902 · 03/03/2025 18:23

LaTable · 03/03/2025 18:12

Hi, not really had this experience but didn't want to run.
When I had a scan at about 4+5 my scan looked exactly like this.
It then grew (unfortunately ended up being a mmc due to a sch right at the placenta)
I think the best you can do it do as welcome to the womb have suggested and go to an epu to see if it progresses. Fingers crossed for you op

Thank you so much for that ❤️

OP posts:
New posts on this thread. Refresh page