Are your children’s vaccines up to date?

Set a reminder

Please or to access all these features

Birth announcements

Share your unique birth stories and read heartwarming stories from fellow mums. For more on your baby’s development, check out the Mumsnet Ages & Stages emails.

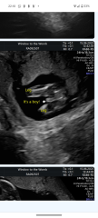
How accurate is this scan 15+2

2 replies

Lili181020 · 15/06/2025 22:33

I'm in actually disbelief and just looking for some reassurance that this is a little boy. I know 15+2 is still super early but the sonographer took ages to find out and didn't seem too confident when she told me.

How accurate is this scan 15+2
How accurate is this scan 15+2
OP posts:
Are your children’s vaccines up to date?
WorriedMamma2 · 16/06/2025 06:04

Absolutely a boy! I had a gender scan with my first at around 15w-ish and by then it was accurate. I'm sure some private scan companies offer gender scans as early as 14w!

Congratulations! 💙

TimeForATerf · 16/06/2025 06:11

I shouldn’t be saying this, especially since DD is a radiographer and would probably roll her eyes, but for a bit of fun upload it into ChatGPT and ask what sex the scan shows. DS’s friends have done this with their various scan pics and got a 80% correct answer, 4 out 5 right.

New posts on this thread. Refresh page
Swipe left for the next trending thread