Please or to access all these features

Antenatal tests

Get updates on how your baby develops, your body changes, and what you can expect during each week of your pregnancy by signing up to the Mumsnet Pregnancy Newsletters.

10 week scan - what's your thoughts?

2 replies

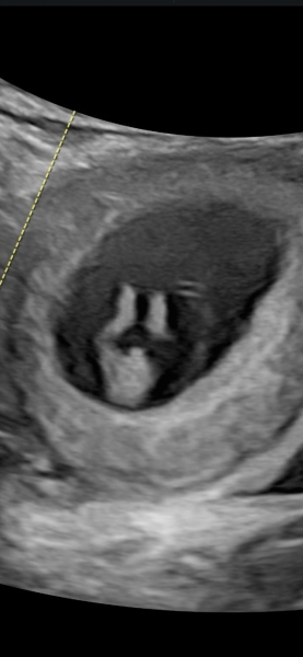
Ellienb · 17/07/2025 09:14

I had a 10 weeks scan and this was the potty shot I received. Just curious whether people think boy or girl from this scan photo?

10 week scan - what's your thoughts?
OP posts:
Ellienb · 18/07/2025 22:19

My scan at 13 weeks pregnant. Curious to hear what people think - boy or girl? Appreciate any comments, thankyou! X

10 week scan - what's your thoughts?
OP posts:
Miracle1116 · 18/07/2025 22:22

Boy :-)

New posts on this thread. Refresh page