Please or to access all these features

Antenatal tests

Get updates on how your baby develops, your body changes, and what you can expect during each week of your pregnancy by signing up to the Mumsnet Pregnancy Newsletters.

Private Gender Scan Right?

1 reply

Lauren3009 · 09/03/2025 16:05

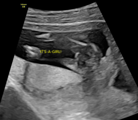
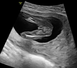
Had a private gender scan at 15+5 weeks and was told it was a girl but i’m unsure after looking at the scan images.

Private Gender Scan Right?
Private Gender Scan Right?
Private Gender Scan Right?
OP posts:
LouiseTopaz · 09/03/2025 16:08

It's so hard to tell from these images, it becomes more accurate as your pregnancy progresses so maybe wait for the NHS one..

New posts on this thread. Refresh page