Please or to access all these features

Antenatal tests

Get updates on how your baby develops, your body changes, and what you can expect during each week of your pregnancy by signing up to the Mumsnet Pregnancy Newsletters.

Gender Scan

3 replies

APW24 · 06/11/2023 20:31

Hi,
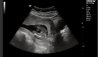
I went for a gender scan at 17 weeks and was told baby was a boy. This sonographer was confident and shared photos of baby boy.

I am 20 weeks today and at my NHS scan have been told that baby is a girl. The sonographer struggled as the baby had their legs crossed. They asked someone else to come in who also agreed it was difficult to see but they still agreed baby was a girl.

We are really just happy that baby is healthy but are wondering if this has happened to anyone else?
I’ll add photos of my 17 week scan that confirmed baby was male. I’ve booked a rescan so will find out then, just curious!

Gender Scan
Gender Scan
OP posts:
Deeottto · 22/12/2023 07:45

Any updates?

Lollywhite · 08/02/2024 14:45

Hi did you get an update regarding this? Interested to know x

APW24 · 08/02/2024 17:53

I went for another private scan and they were 100% convinced that baby is a boy.
I’ve been for a 4D scan since and it’s pretty clear.
I suppose it’s not really priority at the 20 week NHS scan to look for gender! Would recommend others getting a 2nd opinion though if they were solely relying on NHS scan 😅

OP posts:
New posts on this thread. Refresh page