Please or to access all these features

Antenatal/postnatal depression

Our Antenatal and Postnatal Depression forum is a supportive space where you can share your postnatal depression experiences.

Gender Scan

2 replies

Hewie30 · 25/01/2020 15:39

Afternoon ladies!

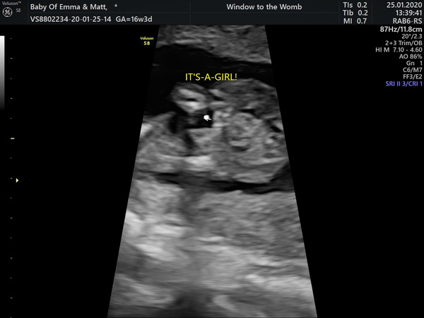
I'm 16+3 and went today privately to have my gender scan. I've had put in my head since day one that we'll be having a boy, today at the scan we got told we'd be having a little girl. We're very much in shock because all we've been convinced by people is it's a girl 🤣. We're happy and we didn't mind the gender as long as they were heathy. The only thing that's on my mind was that it took a while for the sonographer to figure out the gender and I had to cough a few times to get her to budge! Me and oh could have sworn we saw a little penis in the photos but the sonographer saw the three lines for a burger for a girl. I've attached the scans and the photos we thought were a boy. Is it the placenta that we saw? I feel awlful questioning it and we are happy but would be happy to hear your thoughts!

Gender Scan
Gender Scan
Gender Scan
OP posts:
slipperywhensparticus · 25/01/2020 15:45

I would wait till later to find out the sex with my first I had a surprise it was fantastic except she was early and I had somehow only picked a boys name she was a girl 😂 so if your uncertain in any way shape or form on the ultrasound wait till the day and pick boy and girl names

bethter · 05/02/2020 20:16

Hey! We had a gender scan at 17+1 and his seems to be a lot more prominent and obvious, so I think in comparison you have a girl:) but maybe wait til you've had another scan to do any announcements x

Gender Scan
New posts on this thread. Refresh page