Meet the Other Phone. Only the apps you allow.

Meet the Other Phone.
Only the apps you allow.

Buy now

Please or to access all these features

Multiple births

When do you start showing with twins? What is life with twins like? Join the conversation on our Multiple Births forum.

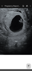
Possible mo-mo or mo-di twins after our embryo split

16 replies

Tiredtoddlerma · 20/11/2024 15:07

On Monday we had the surprise of our lives that our single embryo transfer split and we are expecting identical twins. My mind has been all over the place since - how will this affect our beautiful 23mo from our first round of IVF, all of the risks during pregnancy, then if they make it, how will we cope practically and financially. I can't say I've found any happiness in the news yet and that makes me feel very guilty.

Some questions from any Mumsnetters with experience

  • does two yolk sacs generally indicate mono-di pregnancy?
  • is it ok if my twins look like they're almost overlapping a bit on the ultrasound? They're in a love heart / V shape and the instrusive thinker in me is worried this could mean conjoined even though I know the chance of this is very small.
  • how are we supported with multiples on the NHS? I haven't even had a booking appointment yet because my local trust haven't been able to place me with a local midwife so I'm waiting for a call. All the anecdotal experiences I've read online seems to be from the US which have multiple specialists who even have better equipment to see the babies in more detail, which I'm guessing we don't get over here?
  • is seeing two heartbeats and twins measuring the same a good sign we won't suffer from a vanishing twin? I keep thinking next time we see them there will only be one.

I'm being scanned again by our fertility clinic next week when I'll be 8w but any help with these questions would be SO appreciated as I've got no healthcare professionals to turn to yet. Scan photos attached too.

Possible mo-mo or mo-di twins after our embryo split
Possible mo-mo or mo-di twins after our embryo split
OP posts:
Twinsybalinsy · 20/11/2024 15:56

Just on your third bullet (sorry - my nonexistent medical knowledge doesn't really extend to those points even having been through a mo-di pregnancy) - my care on the NHS was excellent. I had a dedicated twin midwife, weekly scans from 16 weeks and when complications started occurring, consultant led care under the fetal medicine team and great delivery and neonatal care. My hospital was a centre of excellence for twin care (complete fluke, it was the closest one) but lots of twin pregnancies with complications are referred there. The Twins Trust website has some great resources for what to expect from your care.

From memory they could tell from our 8 week scan that it was a mo-di pregnancy which should hopefully alleviate your concerns about conjoined twins (I also had a moment of being terrified about this!)

Tiredtoddlerma · 20/11/2024 16:01

Thank you so much for taking the time to reply to my ramblings! Hopefully next Monday's scan at 8w I'll get a clearer idea of what's next then. I'll definitely check out Twins Trust too. I'm also relieved to hear you also had that same worrying thought. On the pic where they measure the two of them I think I can see a tiny gap, but I've stared at those ultrasounds in absolute disbelief for so long this week I think I'm going cross eyed! I hope, despite your complications, all is well with you and your two 🙂

OP posts:
Twinsybalinsy · 20/11/2024 16:05

@Tiredtoddlerma thank you - all well here despite the complications, I now have two bonkers 9 month old boys who don't seem to have any long lasting effects from a rough pregnancy! Best of luck with your pregnancy, I hope it all goes well.

eggseggseggseggs · 20/11/2024 16:45

Aw congratulations! I have twins from IVF and I love it - yes bloody hard but also amazing!
It's hard to tell from your photos but does look like they share a sac - won't know until they are a bit bigger. But you'll get lots of extra scans and generally NHS will advise they are born earlier - tends to be a sliding scale 37 weeks for di di 36 weeks for mo di and 35 weeks for mo mo
All the scans can be scary but also help reduce anxiety as you know you'll be seeing them so much
Come over and join some of the UK twin groups on Facebook lots of support on there x

boulevardofbrokendreamss · 20/11/2024 17:00
  • does two yolk sacs generally indicate mono-di pregnancy?
Yes, because otherwise they are Mo-Mo. It very much looks like yours are Mo-Mo, and you would be under the FMC from the outset.
  • is it ok if my twins look like they're almost overlapping a bit on the ultrasound? They're in a love heart / V shape and the instrusive thinker in me is worried this could mean conjoined even though I know the chance of this is very small.

I don't know anything about this I'm afraid but try not to worry.

  • how are we supported with multiples on the NHS? I haven't even had a booking appointment yet because my local trust haven't been able to place me with a local midwife so I'm waiting for a call. All the anecdotal experiences I've read online seems to be from the US which have multiple specialists who even have better equipment to see the babies in more detail, which I'm guessing we don't get over here?

I have Mo-Di twins, we had a LOT of complications, TTTS treated by laser ablation then I had a placental abruption at 31 weeks and they were delivered then. The care was exemplary. I was under the FMC, Prof Nikolaides performed the surgery which somewhat experimental back then so there were about 100 students watching on a big screen. We were in NICU / SBU for six weeks. The equipment here is up to date!

  • is seeing two heartbeats and twins measuring the same a good sign we won't suffer from a vanishing twin? I keep thinking next time we see them there will only be one.
There is always a risk, albeit a small one.
Newtwinmana · 20/11/2024 17:04

Hi,

I am currently 8 weeks pregnancy with Mo-Di twins, and I also have a 22 month old!

I have a history of fertility issues so have early scans, my nhs one wasn’t offered until 7 weeks which felt too late for me (I’ve had 2 ectopics which had led to emergency surgery by that point in previous pregnancies) so booked a private scan at 6 weeks. At that scan I was told one sac definitely - which led to lots of googling and a bit of panic due to some of the risks I saw with Momo pregnancies. Anyway we had our 7 week nhs scan, where they confirmed it was Mo-Di twins. She said it was just too early to tell at 6w, the earliest you could confidently determine would be between 7 and 8 weeks. I had also read this on mumsnet before which had reassured us!

I’ve self-referred for my antenatal appointments but haven't heard anything yet- im assuming we will be held under a specialist service, as that is what nice guidelines say. If you want to know what to expect from your care you can see it in those guidelines. For Mo-di twins that includes specialist foetal medicine unit oversight, scans every 2 weeks after 16w and offered induction/ C-Section around 35 weeks (I’m guessing if there are no concerns at all you would maybe go further).

Im flitting between feeling shocked/anxious and disbelief. I said it out loud in work to my manager (I’m really struggling in work right now with fatigue and nausea), and it was the first time I had experienced the delighted response which has made me feel good about it all. Me and my husband have been able to build some excitement by thinking about how we will let family know around Christmas time, and we’ve also been quite matter of fact about how the only way we will cope with this is by having additional paid support, and that we will just need to make that work even if it means completely depleting our savings/ getting a loan. I know we’re lucky to be in a position to do that, but really that’s been the main way we’ve been able to think about it as we had such a difficult time at the beginning when our first was born.

I hope that’s helpful, it’s so nice to hear about someone else having a similar experience! I can’t get my head around how we will manage, but as everyone does I’m sure we will somehow!

Newtwinmana · 20/11/2024 17:14

Sorry just to add about yolk sacs- I had a look through all the literature (I work in a medical field in the nhs but I’m not a medical Dr)- it looks as though 1 yolk sac is predictive of a mo-mo pregnancy and 2 yolk sacs is more likely to be Mo-Di, however, you can have Momo pregnancies with 2 yolk sacs too.

Nobody has mentioned vanishing twin to us but is also on my mind- especially as I have also had a missed miscarriage before. One thing helping me is knowing that the risk of early miscarriage is actually slightly lower in twin pregnancies than singleton pregnancies (although of course there are more risks with twin pregnancies at the later stages, which we will have so much support for). This is helpful for me with getting through the first bit!

Tiredtoddlerma · 20/11/2024 17:51

Thank you for all the replies, so good to know I'm not alone in this craziness!

@eggseggseggseggs thank you, I will definitely join the Facebook groups when I feel a bit more confident we're progressing with two. Congrats on your IVF pregnancy too 😊

@boulevardofbrokendreamss sorry to hear you had lots of complications, hope everything is OK now. I am worried about mo-mo but hopefully having two yolk sacs (although one gestational sac) is a good sign we might have mo-di although they're so snuggly it's hard to believe there's a membrane between them!

@Newtwinmana wow our situations are very similar! So reassuring you hear you've felt up and down with it too. One of my overwhelming emotions is I keep feeling really guilty for my toddler, do you worry about that? Really hope we will also see a possible membrane and confirm mo-di at our next scan in that case, that's good to know it should be possible soon. Thanks so much for checking your work literature re the yolk sacs, hopefully it's a good sign for us. Nobody has mentioned vanishing twin to us either, or really anything at our clinic other than oh look it's actually two and I see heartbeats and yolk sacs! I plan to ask many more questions next week although appreciate as a fertility clinic sonographer she may not be able to answer them all. Seems crazy we wait so long to see specialists on the NHS.

OP posts:
Sunseeker83 · 20/11/2024 20:40

Unfortunately I had a vanishing twin pregnancy. We saw two heartbeats and both measuring 7 weeks but by 10 weeks one had stopped. I understand from the fetal medicine specialists that it's unusual (after seeing two heartbeats) and normally indicates a genetic abnormality. Caused all sorts of issues with the screening (both combined and nipt) for the remaining twin, who is here with us right now, causing utter chaos

Tiredtoddlerma · 20/11/2024 20:47

@Sunseeker83 thank you for sharing your story with me. I'm so sorry that happened but happy to hear you've got a wild child keeping you on your toes now 😂 I think I need to be prepared that that may happen. Were your twins in the same sack or separate?

OP posts:
Sunseeker83 · 20/11/2024 20:54

Thank you. It's a very strange experience as you lose something emotionally but nothing physically changes. There is no physical sign of loss, you just remain pregnant. We had two sacs so a slightly different situation. All the best x

Tiredtoddlerma · 25/11/2024 15:27

Unfortunately we found out at our 8w scan today that we lost both babies - no heartbeats anymore 💔

OP posts:
CloudPop · 25/11/2024 16:30

Very sorry to hear this - take care of yourself

Twinsybalinsy · 25/11/2024 17:39

So very very sorry to hear this - rest up, my thoughts are with you x

Sunseeker83 · 26/11/2024 09:51

So sorry to hear this. Take care x

Nc546888 · 29/12/2024 21:35

I’m so sorry to read this OP, my prayers are wish you 💐

New posts on this thread. Refresh page