Meet the Other Phone. Protection built in.

Meet the Other Phone.
Protection built in.

Buy now

Please or to access all these features

General health

Mumsnet doesn't verify the qualifications of users. If you have medical concerns, please consult a healthcare professional.

Adult braces - experience

41 replies

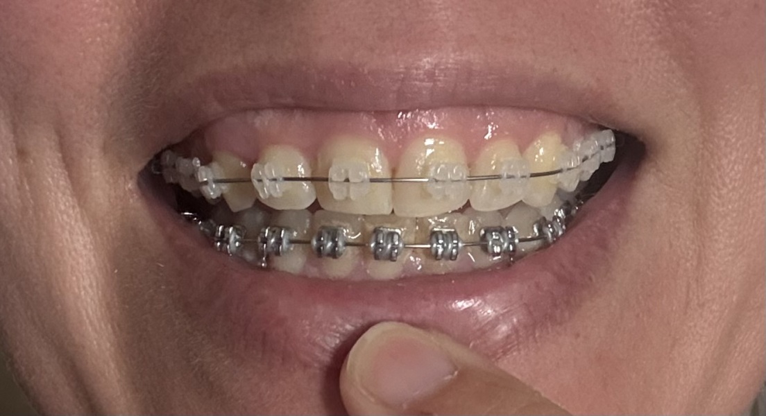
BraceFace2025 · 02/06/2025 12:38

DAY 1

I’ve just had adult braces on and I searched the mumsnet forums for people’s experience before I got mine I thought I’d post updates about my experience as I go.

So I looked at Invisalign and my dentist quoted me £3.5k for Invisalign Go which was all they offered. It’s a 6 month treatment.

I then visited a local orthodontist who quoted me for aligners and traditional train track braces.

The aligners were £5400 because they’re custom made by him - I could NOT afford this.

The traditional braces (with ceramics on top teeth) were £4000.

Both would take 10-12 months and braces would offer a marginally better outcome. Marginal because I don’t have significant issues, just some overcrowding which is getting worse with age.

I’ve gone for traditional braces so I can have the assurance of orthodontist lead treatment. I’ve hated my teeth for ages and I’ve been thinking about this for close to a decade (I’m mid 40s) so I figure a year is not that long in the scheme of things to put up with them. And the cost had also put me off before, but now I think the amount of time I’ve hated my teeth, if I’d got it done years ago the cost would just be a distant memory now!

I’ve literally just had them fitted. The fitting was fine, not particularly uncomfortable (I did take ibuprofen beforehand) and they’re not painful at the moment, more just a feeling of pressure. However, they feel very VERY strange. I feel like I can’t talk properly and I can’t bite properly - at the moment I’m not really sure how I’ll ever eat anything solid. It feels exactly like having a mouth full of metal which probably shouldn’t have come as such a surprise!

Here’s a pic of my teeth before and now with braces.

Adult braces - experience
Adult braces - experience
OP posts:
weaselwords · 08/06/2025 05:39

WaitingRoomBoredom · 08/06/2025 00:29

Sounds a good start. I hated the first two or three days of Invisalign because they hurt so much to take out. That definitely got better as the attachments wore down and I got the technique.

The bottom ones are harder to get out than top, but it’s not too bad.

im a bit irritated with them now after 2 days, probably as I’m so hangry as I can’t be bothered to eat or drink as I have to keep taking them out and it’s such a faff. When I do eat, I’m catching my incisors on my lips, which is weird. And I’m clenching my teeth all the time, unconsciously, on the braces. I’ll end up with a hell if a jaw line.

I’ll get over it. I’ve got 18 months of this! Wonky front teeth and all premolars removed when I was a kid so plenty of work for my braces.

weaselwords · 08/06/2025 05:41

And I’m lisping, but only mildly.

LogicalBlodge · 08/06/2025 05:52

I had them as a child. You get used to them. Eating apples was a challenge. Make sure you have some clear wax as you can put it on the parts that are rubbing. When they tighten them it can feel sore for a few days. Also one time they didn't cut the ends of the wire off at the very back - didn't realise this had happened and lived with it poking me and constant ulcers for six months until next check.

I actually had them from about 15 to 17. Dentistry changed and I had to move to a private place that took me on as an NHS patient. I don't know why it took so long to get mine straight. In the end I got fed up and told them to take them off.
The upshot it that they are a lot better but one front one is ever so slightly a couple of mm back. Also the bottom row are a bit of a mess still.

I didn't know they can put a wire behind your teeth. I was given a retainer to wear at night after - this was really important to stop them moving back.

LogicalBlodge · 08/06/2025 05:59

Oh god the elastics, forgot about those! Were they meant to move the jaw? I have a small jaw and the bottom teeth fit inside the top - you can't see that I have any bottom teeth. Human jaws are shrinking apparently due to a softer food diet.

BraceFace2025 · 08/06/2025 06:56

Hi @SwedishEdith I don’t know what tooth you need out, but if you look closely at my picture without the braces you’ll see I only have 3 bottom incisors at the front instead of 4. When my baby tooth fell out there was no adult tooth underneath. Literally no one has ever noticed! My orthodontist isn’t doing anything about this- it doesn’t affect my bite and is fine. But obviously this might depend on what tooth it is.

OP posts:
SwedishEdith · 08/06/2025 09:59

BraceFace2025 · 08/06/2025 06:56

Hi @SwedishEdith I don’t know what tooth you need out, but if you look closely at my picture without the braces you’ll see I only have 3 bottom incisors at the front instead of 4. When my baby tooth fell out there was no adult tooth underneath. Literally no one has ever noticed! My orthodontist isn’t doing anything about this- it doesn’t affect my bite and is fine. But obviously this might depend on what tooth it is.

Interesting and I definitely didn't notice at all.

WaitingRoomBoredom · 08/06/2025 20:45

Chocolatecustardcreamsrule · 08/06/2025 00:38

Good luck OP I had metal braces. I had an awful experience because of how bad my teeth were (4 extractions, 6 months of a removable brace which gave me a lisp then 4 years of braces) but I would 100% without question go through it all again. It was the best decision I ever made.

Choose dark elastics as they don’t stain. Buy wax in bulk online and if you are particularly sore cover the whole lot in wax before bed and you’ll wake up a new person. Sonic Airs are great for cleaning. Keep a little kit in your handbag including a toothbrush and little tree cleaner. Avoid wotsits.

Can I ask - how did you get the dark elastics? I asked the dentist and she said the only alternative was the coloured ones for kids

Chocolatecustardcreamsrule · 09/06/2025 15:32

WaitingRoomBoredom · 08/06/2025 20:45

Can I ask - how did you get the dark elastics? I asked the dentist and she said the only alternative was the coloured ones for kids

I had the kid ones! They never offered me anything else just showed me the colour wheel each time. I swapped colour every time but found a navy blue, purple or pink worked well. The light colours discolour so easily, I went for light blue once and they went fluorescent green after a curry.

Gnarab24 · 09/06/2025 21:47

I had ceramic braces fitted 12 months ago.
Pros- teeth definitely look straighter now- although I’m probably still 6 months from getting them removed, but I still feel more comfortable about showing my teeth than in recent times.
Cons- discomfort/pain either from pressure of the braces or the wires rubbing on my gums. Usually only lasts a few days if it’s the brace but adjustments can be tricky. I found wax really tricky so started using mouldable silicone ear plugs- work a treat! And you don’t need to dry your teeth for them to stick.
-eating isn’t fun anymore, it’s funny how a mouth full of metal changes enjoyment of food.
-ive had terrible neck pain that may or may not be related to my brace (but has definitely improved in the past month or so)
-no curries unless you want the elastics to turn bright yellow
-i didn’t lose loads of weight either… chocolate melts and ice cream numbs the pain

Shouldve done it years ago to be honest.

Poobs2022 · 09/06/2025 22:16

I did Invisalign a couple of years ago. It took 18 months nearly because I have gum disease and had to have a lot of periodontal treatment at the start but it's the best money I've ever spent. My teeth moved a lot in pregnancy and I never realised how wonky they'd gotten. For anyone worrying about shaving your teeth down it's a thin metal file like sandpaper and they literally run it inbetween any that are too crowded.

BraceFace2025 · 09/06/2025 22:35

@Gnarab24 I didn’t realise you should dry your teeth before putting wax on, that explains why I’ve been struggling with it 🤦🏻‍♀️

OP posts:
Sweetbeansandmochi · 10/06/2025 22:25

Hi there, so it’s been a week for me now. After my face swelling on Friday the antibiotics took it down and by Sunday I was back to normal. The dentist said I had an extreme reaction which was unusual.

My mouth feels uncomfortable now rather than awful ..so it is turning a corner.

How are you feeling @BraceFace2025 ?

justasking111 · 10/06/2025 22:27

BraceFace2025 · 02/06/2025 12:38

DAY 1

I’ve just had adult braces on and I searched the mumsnet forums for people’s experience before I got mine I thought I’d post updates about my experience as I go.

So I looked at Invisalign and my dentist quoted me £3.5k for Invisalign Go which was all they offered. It’s a 6 month treatment.

I then visited a local orthodontist who quoted me for aligners and traditional train track braces.

The aligners were £5400 because they’re custom made by him - I could NOT afford this.

The traditional braces (with ceramics on top teeth) were £4000.

Both would take 10-12 months and braces would offer a marginally better outcome. Marginal because I don’t have significant issues, just some overcrowding which is getting worse with age.

I’ve gone for traditional braces so I can have the assurance of orthodontist lead treatment. I’ve hated my teeth for ages and I’ve been thinking about this for close to a decade (I’m mid 40s) so I figure a year is not that long in the scheme of things to put up with them. And the cost had also put me off before, but now I think the amount of time I’ve hated my teeth, if I’d got it done years ago the cost would just be a distant memory now!

I’ve literally just had them fitted. The fitting was fine, not particularly uncomfortable (I did take ibuprofen beforehand) and they’re not painful at the moment, more just a feeling of pressure. However, they feel very VERY strange. I feel like I can’t talk properly and I can’t bite properly - at the moment I’m not really sure how I’ll ever eat anything solid. It feels exactly like having a mouth full of metal which probably shouldn’t have come as such a surprise!

Here’s a pic of my teeth before and now with braces.

That's lovely, huge improvement and better for dental health in the long run

BraceFace2025 · 11/08/2025 10:53

WEEK 10

Thought I’d post a little update. I’ve had 2 follow up appointments now and at the second, today, they put a slightly thicker, stronger wire in.

I’m starting to notice a definite difference now, so that’s reassuring. I think I might get a couple of very small ‘black triangles’ on one side but I’d rather have the straight teeth.

Discomfort-wise it’s been not so bad, although I do have to use wax every now and then to relieve rubbing on my inner cheek and lips.

Hopefully only 8 months to go!

Adult braces - experience
OP posts:
Sweetbeansandmochi · 03/09/2025 19:34

Hello @BraceFace2025
I am so glad it’s going well for you! It’s amazing how quickly they can change!

Unfortunately, I have had a complication that happens to less that 1% of people who get braces. Which means my lower journey is going to finish before the end. I am keeping my top ones though. I am going to be so glad when it’s all over though!

MaraScottie · 10/09/2025 18:27

LittleHouseOnThePrarie · 04/06/2025 15:15

I've been thinking about this for years. I'm now late 60s! My mum had a fixed brace at 75!

The thing is, Invisalign is not right for everyone @MellowPinkDeer and @backfromouterspace

I've had 2 consultations. One said yes to Invisalign but with a lot of shaving down of my teeth (they are moderately crowded - worse than yours @BraceFace2025 )

The other (current dentist who I trust more) said I'd need 2 extractions at the top and fixed braces for 18 months.

It's a big task and then there's the retainers afterwards.

For various reasons my mum stopped using her retainer (mainly during Covid as no appts) and her teeth have moved back.

Get a third opinion. Removing healthy teeth should be a last resort. Removing pre-molars to make space is like the old fashioned approach, take a look at expansion methods instead to make room in the upper jaw that way. Removing teeth can make the face age more quickly and cause issues with the smaller airway.

New posts on this thread. Refresh page