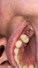
Had lower right molar yanked out in a tug of war battle 4 days ago. Up until today there was a very obvious grey jelly goo level with the rest of the gum. Woke this morning and either the top layer has fallen out, or sunken further in. Just looks more hollow than it has the last few days. Is that normal at this stage or am I on my way to a dry socket? No pain (well, except a mild throbbing which has steadily improved since the extraction).
Also, when is my mouth going to stop tasting like a bag of sour arseholes? I don't think it's infected, there's no swelling or pus/leakage or anything, it just tastes awful! Regularly salt water rinsing.
Hoping someone more experienced in tooth extractions can tell me it's fine and that my own breath won't make me gag for much longer 