Are your children’s vaccines up to date?

Set a reminder

Please or to access all these features

Children's health

Mumsnet doesn't verify the qualifications of users. If you have medical concerns, please consult a healthcare professional.

Any dentists about? Tooth X-ray advice pls

7 replies

hedwigsbeak · 27/02/2025 07:11

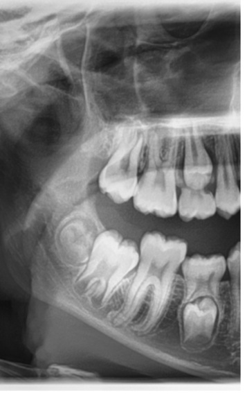
Just wondering if any dental people could help me understand this X-ray? Orthodontist letter says upper and lower E teeth both sides are retained. The lower E's need to be extracted then they'll look again when adult teeth are through.

I think I can see the unerupted teeth. Does the lower one look ok? It doesn't seem to have proper roots like the upper one does. Child is 12.5.

Quick Google shows normal time for shedding is 10-12 so is there a reason to remove teeth now rather than waiting a bit? Thanks for any advice.

Any dentists about? Tooth X-ray advice pls
OP posts:
Are your children’s vaccines up to date?
Lollygaggle · 27/02/2025 15:21

The roots on the lower premolar are just not formed yet , it’s quite normal.

Most times the adult teeth stimulate the baby teeth roots to be resolved, the baby tooth falls out and the adult tooth comes through.

Occaisionally, particularly on the es they get stuck and sometimes submerge and the adult tooth doesn’t come through. Normally taking the baby tooth out gets things going and the adult tooth comes through. I would think the upper tooth will come through quickly, the lower one , because it is further back in its development may take some time, I suspect the lower e is jammed against the tooth behind and is starting to submerge hence the delay.

paristotokyo · 27/02/2025 15:48

Yes, lower premolar looks normal. And removing the retained baby teeth will get the adult teeth 'moving'. There is some resorption of the roots of the upper baby tooth, but the lower one looks like it could be a while. Possibly due to the position of the teeth around them etc

hedwigsbeak · 27/02/2025 19:30

Thanks very much @Lollygaggle and @paristotokyo. That is really helpful. Glad to know that the new tooth looks normal.

So it sounds like it's a good idea to get the baby teeth extracted then. I was just a bit unsure as although DD is 12 she's been quite late in all things tooth-related so it wouldn't surprise me if she's just a bit slow! But if the baby tooth is blocking normal development it needs to come out.

While I'm here, is that a wisdom tooth at the end?

OP posts:
Lollygaggle · 27/02/2025 19:31

on the lower jaw yes it is a wisdom tooth.

hedwigsbeak · 27/02/2025 19:46

Oh no! Last time she had one of these X-rays (a year or so ago) the dentist told us she was really lucky as she didn't have any wisdom teeth! I didn't realise they could form after that time!

OP posts:
Lollygaggle · 27/02/2025 19:50

hedwigsbeak · 27/02/2025 19:46

Oh no! Last time she had one of these X-rays (a year or so ago) the dentist told us she was really lucky as she didn't have any wisdom teeth! I didn't realise they could form after that time!

Quite normal for wisdom teeth to start to form between ages of 9 to 12 .

hedwigsbeak · 27/02/2025 20:04

Ah so last time it was too soon to say! I was hoping she'd got away without any wisdom teeth! Thanks for the advice @Lollygaggle

OP posts:
New posts on this thread. Refresh page